Lietuvos chirurgija ISSN 1392–0995 eISSN 1648–9942
2024, vol. 23(2), pp. 116–119 DOI: https://doi.org/10.15388/LietChirur.2024.23(2).5
Cenk Ozkan
University of Health Sciences, Kanuni Sultan Suleyman Training and Research Hospital, General Surgery, Istanbul, Turkey
E-mail: cenkozkann@hotmail.com
ORCID iD: https://orcid.org/0000-0001-6801-7704
Serhan Yilmaz
University of Health Sciences, Kanuni Sultan Suleyman Training and Research Hospital, General Surgery, Istanbul, Turkey
E-mail: drserhanyilmaz@gmail.com
ORCID iD: https://orcid.org/0000-0002-5612-5932
Osman Sibic
University of Health Sciences, Kanuni Sultan Suleyman Training and Research Hospital, General Surgery, Istanbul, Turkey
E-mail: osmansibic@gmail.com
ORCID iD: https://orcid.org/0000-0002-7600-9154
Abstract. The epigastric hernia sac usually contains preperitoneal fat tissue, omentum, and intestines, but the presence of liver tissue is extremely rare. Epigastric hernia is a type of hernia in the midline of the abdominal wall between the umbilicus and the xiphoid process. It may be asymptomatic in some patients and cause complaints such as pain and nausea in most patients, but serious complications such as incarceration and strangulation are rare. In the present case, a 74-year-old woman was examined and found to have an irreduced omentum, transverse colon and liver tissue inside the hernia sac. She underwent an open procedure with onlay mesh-assisted hernia repair. Rare but serious complications, such as liver tissue incarceration, should be considered in epigastric hernia patients.
Keywords: epigastric hernia, incarcereted hernia, liver hernia.
Received: 2024-03-08. Accepted: 2024-04-22.
Copyright © 2024 Cenk Ozkan, Serhan Yilmaz, Osman Sibic. Published by Vilnius University Press. This is an Open Access article distributed under the terms of the Creative Commons Attribution Licence, which permits unrestricted use, distribution, and reproduction in any medium, provided the original author and source are credited.
Epigastric hernia is a type of hernia observed in the midline of the abdominal wall between the umbilicus and the xiphoid process. It has an incidence of 1.6–3.6% among all abdominal wall hernias [1]. While it may be asymptomatic in some patients, it may cause complaints such as pain and nausea in most patients. Hernia diameters are usually smaller than 1 cm and serious complications such as incarceration and strangulation are rarely observed [1].
The epigastric hernia sac usually contains preperitoneal adipose tissue and omentum; rarely, structures such as the stomach, small intestine and colon can also be found in the sac [2] and its repair is usually performed to relieve symptoms [3].
In the present case, a 74-year-old woman presented with pain and swelling in the epigastric region and was found to have irreduced omentum, transverse colon and liver tissue inside the hernia sac. The patient underwent an open procedure with onlay mesh-assisted hernia repair.
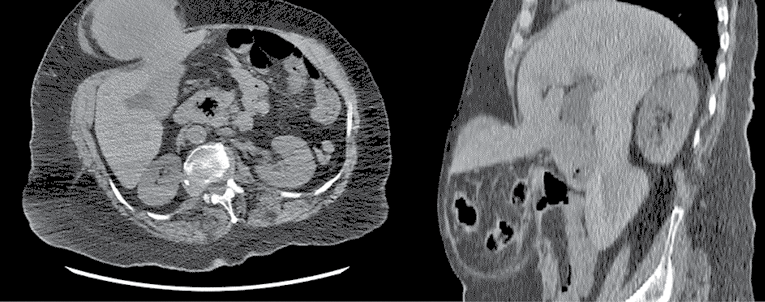
A 74-year-old woman with a BMI of 26.56 kg/m2, presented to the emergency department with pain and swelling in the epigastric region. She had no history of previous surgery and was only diagnosed with hypertension. Physical examination revealed an unreducible hernia defect in the epigastric region. Her vital signs included a blood pressure of 130/90 mmHg, a heart rate of 80 beats/minute and a respiratory rate of 18 breaths/minute. The patient was diagnosed with an irreducible epigastric hernia and hospitalized in the clinic. Computed tomography (CT) revealed that the hernia defect included the transverse colon, omentum and liver segment 3 (Figure 1). The laboratory findings of the patient included a white blood cell count of 6.83 × 103/µL, alanine aminotransferase level of 68 IU/L, aspartate aminotransferase level of 51 IU/L and C-reactive protein level of 1.41 mg/L.

Figure 1. Preoperative computed tomography images

Figure 2. Intraoperative findings during the surgery (A – Hernia sac)
The patient was decided to operate. A midline incision was made over the hernia defect, and the skin and subcutaneous tissues were crossed. The hernia sac was observed, the sac was opened with sharp and blunt dissections, and the abdomen was entered. The transverse colon, liver segment 3 and omentum were observed in the hernia sac (Figure 2). The abdomen was reduced, as there was no evidence of ischemia or necrosis in the organs. The hernia sac was excised. Then, the 10 cm fascial defect was closed with the mini bite technique (MIT) using a number 1 loop PDS suture. A 12x12 cm prolene mesh was fixed on the fascia. After hemostasis, the folds were closed according to the patient’s anatomy.
The patient was discharged on postoperative day 1.
The study was conducted by all authors in accordance with the Declaration of Helsinki. All patients signed written informed consent.
The incidence of epigastric hernia is quite low in the literature and ranges between 0.5–5% among operated hernias and 1.6–3.6% among all hernias [1]. Various organs have been reported to be found in the contents of hernia sacs. Cases in which the liver is herniated, which are very rare in the literature, are generally associated with incisional hernia [4–5].
Herniation of liver tissue has also been observed in primary anterior wall defect herniations [6]. Hernia defects, defined as epigastric hernias, have also been reported in the literature [7]. Liver herniations may be associated with complications, especially incarceration. As seen in this case report, incarceration of the liver segment in the hernia sac is rare and may require urgent surgical intervention. However, there is limited information in the literature regarding the management and surgical treatment of such cases.
Many etiologic factors, such as obesity, increased intra-abdominal pressure, abdominal wall weakness, advanced age and smoking, are involved in the development of abdominal wall hernias and liver herniation. In addition, deficiency in the ligaments of the liver tissue has also been shown to be among the risk factors [6]. In our case, advanced age was thought to be a risk factor for the development of epigastric hernia.
Epigastric hernia should be suspected when patients present to the healthcare institution with epigastric swelling. The demonstration of hernia content is highly important especially in cases of incarceration or strangulation. For this purpose, along with imaging techniques such as ultrasonography and CT, leukocytosis, inflammatory markers and increased liver enzyme tests may be used in the evaluation of these complicated images [7]. Leukocytosis and elevated acute-phase reactants were not detected in our patient because strangulation symptoms were not observed, and a moderate increase in alanine aminotransferase and aspartate aminotransferase levels was detected.
Surgical intervention is usually used fot the treatment of epigastric hernias. Although mesh use is not always required during surgical procedures, studies have shown that mesh use is effective for large hernia defects [8]. Difficulties may arise in the treatment of hernia in complicated cases in which the liver is herniated. A definite diagnostic guideline and method has not been specified for complicated clinical pictures [9]. In cases of incarceration or strangulation, it is important to intervene in a short time because ischemia or necrosis may be observed in the liver tissue, and resection may be needed [7].
Rare but serious complications, such as incarceration of liver tissue, should be considered in cases of epigastric hernia. The application of standardized procedures in surgical intervention and the analysis of other liver hernia cases in the literature may contribute to the identification of more effective treatment strategies.
Conflict of Interest. Authors did not declare any.
Funding. The authors received no specific funding for this work.
AI. The authors declared there is no use of artificial intelligence (AI) – assisted technologies.
Plagiarism. The authors declared there is no plagiarism in the paper, including in text and images.
Authors Contribution. Cenk Ozkan, Serhan Yilmaz are responsible for the design of manuscript. Cenk Ozkan, Osman Sibic collected the data, Serhan Yilmaz and Osman Sibic analyzed the data. All the authors discuss the results and writing-review & editing the manuscript. Approval of final manuscript: Cenk Ozkan, Serhan Yilmaz, Osman Sibic.
1. Lang B, Lau H, Lee F. Epigastric hernia and its etiology. Hernia 2002; 6(3): 148–150. DOI: 10.1007/s10029-002-0074-0.
2. Alves Ribeiro M, Mitsumoto GL, Soares Gallo A, Szutan LA. Epigastric hernia as a rare manifestation of a bile duct cyst and gallbladder cancer: a first case report. Int J Surg Case Rep 2020; 68: 145–147. DOI: 10.1016/j.ijscr.2020.02.058.
3. Earle DB, McLellan JA. Repair of umbilical and epigastric hernias. Surg Clin North Am 2013; 93(5): 1057–1089. DOI: 10.1016/j.suc.2013.06.017.
4. Eken H, Isik A, Buyukakincak S, Yilmaz I, Firat D, Cimen O. Incarceration of the hepatic lobe in incisional hernia: a case report. Ann Med Surg (Lond) 2015; 4(3): 208–210. DOI: 10.1016/j.amsu.2015.05.009.
5. Warbrick-Smith J, Chana P, Hewes J. Herniation of the liver via an incisional abdominal wall defect. BMJ Case Rep 2012; 2012: bcr2012007355. DOI: 10.1136/bcr-2012-007355.
6. Jadib A, Chahidi El Ouazzani L, Hafoud S, Moufakkir A, Boutachali R, Tabakh H, Siwane A, Touil N, Kacimi O, Chikhaoui N. Incarcerated primary anterior liver hernia: a case report. Radiol Case Rep 2022; 17(6): 2067–2070. DOI: 10.1016/j.radcr.2022.03.051.
7. Dufour I, Marique L, Valembois T, Ghilain A, Beniuga G, Tinton N, Urso S, Colinet B. Ventral primary hernia with liver content. Case Rep Surg 2021; 2021: 6698361. DOI: 10.1155/2021/6698361.
8. Kulkarni SV. An incarcerated epigastric hernia with unusual contents. Clin Case Rep 2023; 11(12): e8291. DOI: 10.1002/ccr3.8291.
9. Then EO, John F, Ofosu A, Gaduputi V. Anterior hepatic herniation: an unusual presentation of abdominal incisional hernia. Cureus 2019; 11(2): e4066. DOI: 10.7759/cureus.4066.