Lietuvos chirurgija ISSN 1392–0995 eISSN 1648–9942
2023, vol. 22(4), pp. 245–248 DOI: https://doi.org/10.15388/LietChirur.2023.22(4).7

Kepenų biopsijos sukeltas hemotoraksas – reta jatrogeninė komplikacija

Diana Samiatina-Morkūnienė
Širdies, krūtinės ir kraujagyslių chirurgijos klinika, Medicinos fakultetas, Medicinos akademija, Lietuvos sveikatos mokslų universitetas, Kaunas, Lietuva
Department of Cardiac, Thoracic and Vascular Surgery, Faculty of Medicine, Medical Academy, Lithuanian University of Health Sciences, Kaunas, Lithuania
Širdies, krūtinės ir kraujagyslių chirurgijos klinika, Lietuvos sveikatos mokslų universiteto ligoninė Kauno klinikos, Kaunas, Lietuva
Department of Cardiac, Thoracic and Vascular Surgery, Hospital of Lithuanian University of Health Sciences Kaunas Clinics, Kaunas, Lithuania
El. paštas dsamiatina@yahoo.de

Rūta Silickytė
Medicinos fakultetas, Medicinos akademija, Lietuvos sveikatos mokslų universitetas, Kaunas, Lietuva
Faculty of Medicine, Medical Academy, Lithuanian University of Health Sciences, Kaunas, Lithuania
El. paštas
ruta.silickyte@stud.lsmu.lt

Gabija Jankauskaitė
Medicinos fakultetas, Medicinos akademija, Lietuvos sveikatos mokslų universitetas, Kaunas, Lietuva
Faculty of Medicine, Medical Academy, Lithuanian University of Health Sciences, Kaunas, Lithuania
El. paštas
gabija.jankauskaite@stud.lsmu.lt

Santrauka. Kepenų biopsija – tiksliausias intervencinis tyrimas, diagnozuojant kepenų ligas. Remiantis Higienos instituto pateikta informacija, Lietuvoje 2022 m. atliktos 968 perkutaninės kepenų biopsijos. Vis dėlto iki šiol Lietuvos mokslinėje literatūroje nėra skelbiama duomenų apie šios procedūros komplikacijas. Užsienio mokslinės literatūros duomenimis, komplikacijų dažnis po šios procedūros siekia 2,4–9,5 proc. Dažniausiai pasireiškia nesunkios komplikacijos: hematomos, karščiavimas, skausmas biopsijos vietoje. Ypač retos komplikacijos: hemotoraksas, pneumotoraksas, krūtinės ląstos ir pilvaplėvės ertmės organų pažaida (dažnis siekia iki 0,04 proc. atvejų). Straipsnyje pristatoma itin reta komplikacija – kepenų biopsijos sukeltas hemotoraksas, kurio gydymo sėkmę aptariamu atveju lėmė ankstyva diagnostika ir laiku atlikta chirurginė intervencija.

Reikšminiai žodžiai: kepenų biopsija, jatrogeninė komplikacija, hemotoraksas, sukrešėjęs hemotoraksas.

Hemothorax Caused by Liver Biopsy – Rare Iatrogenic Complication

Abstract. Liver biopsy is the most accurate interventional procedure to diagnose hepatic diseases. According to the information provided by the Institute of Hygiene, 968 percutaneous liver biopsies were performed in Lithuania in 2022. The Lithuanian scientific literature does not, however, publish information on complications associated with this procedure. According to international literature, the frequency of complications after this procedure ranges from 2.4% to 9.5%. The most common are mild complications: hematomas, fever, pain at the biopsy site. Particularly rare are hemothorax, pneumothorax, damage to the organs of the thoracic and abdominal cavity, which occur in up to 0.04% of cases. This article presents an extremely rare complication – liver biopsy induced hemothorax, whose success was determined by early diagnosis and timely surgical intervention.

Keywords: liver biopsy, iatrogenic complication, hemothorax, retained hemothorax.

Received: 2023/08/25. Accepted: 2023/10/18.
Copyright © 2023 Diana Samiatina-Morkūnienė, Rūta Silickytė, Gabija Jankauskaitė. Published by Vilnius University Press. This is an Open Access article distributed under the terms of the Creative Commons Attribution Licence, which permits unrestricted use, distribution, and reproduction in any medium, provided the original author and source are credited.

Įvadas

Kepenų biopsija – vadinamasis auksinis standartas histologiškai tiriant ir nustatant kepenų pažeidimus ir (ar) ligas. Dažniausiai naudojama perkutaninė kepenų biopsijos technika. Procedūra atliekama taikant vietinę nejautrą. Siekiant išvengti komplikacijų, intervenciją rekomenduojama atlikti kontroliuojant kompiuterine tomografija (KT) arba ultragarsu (UG).

Mokslinės literatūros duomenimis, komplikacijų dažnis po šios procedūros siekia 2,4–9,5 proc. [1, 2]. Dažniausiai komplikacijos (mokslinėje literatūroje vadinamos lengvomis) pasireiškia hematomomis, įvairaus intensyvumo skausmu biopsijos vietoje, karščiavimu. Vidinis (į pilvaplėvės ertmę) kraujavimas priskiriamas prie dažniausių sunkių komplikacijų. Vidaus organų (diafragmos, dešiniojo plaučio, kepenų ir kt.) pažaida, pneumotoraksas, sepsis, hemotoraksas yra ypač retos komplikacijos, pasireiškiančios tik iki 0,04 proc. atvejų. Mirties dažnis, atlikus kepenų biopsiją, siekia iki 0,01 proc. [2].

Straipsnyje pristatomas klinikinis atvejis, sietinas su viena rečiausių kepenų biopsijos komplikacijų – hemotoraksu, kurio gydymo sėkmę aptariamu atveju lėmė ankstyva diagnostika ir laiku atlikta chirurginė intervencija.

Klinikinis atvejis

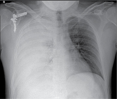
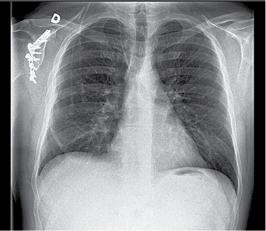
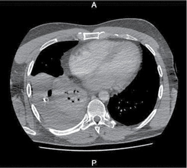
36 m. vyras P. D. atvyko į Gastroenterologijos skyrių patikslinti diagnozės planine kepenų biopsija. Praėjus 8 val. po procedūros, pacientas pajuto maudimą po dešiniuoju šonkaulių lanku punkcijos vietoje. Apžiūros metu pacientas buvo hemodinamiškai stabilus. Atlikus laboratorinius tyrimus, nustatyta saiki anemizacija (hemoglobinas – 128 g/l; norma – 135–160 g/l). Įtariant kraujavimą pilvaplėvėje, atlikta pilvo echoskopija: pilvo ertmėje laisvo skysčio nematyti, dešinėje pleuroje iki 4 cm laisvo skysčio ruožas. Konsultuota krūtinės chirurgo. Rekomenduota atlikti krūtinės ląstos rentgenogramą (Ro). Nustatytas beveik neoringas dešinysis plautis, pastebėta hidrotorakso požymių (1 pav.). Įtarus jatrogeninį hemotoraksą, krūtinės chirurgas atliko diagnostinę pleuros punkciją. Patvirtinus hemotorakso diagnozę, drenuota dešinė pleuros ertmė, išsiskyrė 400 ml kraujo. Tuo metu aktyvaus kraujavimo nenustatyta, hemodinamika išliko stabili, kartotiniuose laboratoriniuose tyrimuose – saiki anemizacija (hemoglobinas – 120 g/l). Atlikus kontrolinę rentgenogramą, nustatytas sumažėjęs skysčio kiekis pleuroje, buvo matyti kompresinių dešiniojo plaučio pakitimų. Įtariant sukrešėjusį hemotoraksą, atlikta skubi krūtinės ląstos KT (2 pav.), kuri patvirtino įtariamą patologiją. Tolesniam operaciniam gydymui pacientas perkeltas į Krūtinės chirurgijos skyrių. Atlikta skubi VATS (angl. video assisted thoracoscopic surgery). Operacijos metu pašalinta 1 000 ml krešulių, aktyvaus kraujavimo nenustatyta, diafragmos kupole rasta nedidelė hematoma. Pooperacinis periodas sklandus (3 pav.). Po trijų dienų geros būklės pacientas išleistas į namus.

lasta-6.jpg 

1 pav. Krūtinės ląstos priekinė rentgenograma prieš operaciją

pleura-7.jpg 

2 pav. Krūtinės ląstos KT atlikus pleuros ertmės drenavimą (prieš operaciją)

rentgen-8.png 

3 pav. Krūtinės ląstos priekinė rentgenograma baigus gydymą

Diskusija

Hemotoraksas (kraujas pleuros ertmėje) – viena dažniausių uždaros ir (ar) atviros krūtinės traumos komplikacijų, per metus sukelianti apie 15 000–30 000 mirčių [3]. Klinikiniame darbe susiduriama su savaiminiu hemotoraksu, kurį sukelia endometriozė, plyšusios sąaugos, tuberkuliozė, ir jatrogeniniu hemotoraksu, kurio dažniausios priežastys: pooperacinis kraujavimas (atlikus kardiochirurginę ir (ar) torakalinę operaciją), kraujavimas po diagnostinių ir gydomųjų procedūrų (po poraktikaulinės ar juguliarinės venų kateterizacijos, pleuros ertmės aspiracinės punkcijos, transtorakalinės ir (ar) transbronchinės plaučių audinio biopsijos, širdies stimuliatoriaus implantavimo, vainikinių arterijų angiografijos ir kt.) [4]. Ypač reta jatrogeninio hemotorakso priežastis – kraujavimas, atlikus kepenų biopsiją.

Kepenų biopsija pasižymi svarbia diagnostine reikšme patvirtinant kepenų ligą, leidžia nustatyti ligos sunkumą ir (ar) stadiją, progresą. Perkutaninė kepenų biopsija – dažnai atliekama procedūra. Higienos instituto duomenimis, 2022 m. Lietuvoje atliktos 968 minėtos intervencijos. Procedūra nereikalauja didelių įgūdžių, tačiau komplikacijų dažnis gali siekti iki 9,5 proc. [2].

Remiantis mokslinės literatūros duomenimis, komplikacijoms išsivystyti daug įtakos turi paciento paruošimas procedūrai, paciento amžius (vyresniems negu 50 m. asmenims kyla didesnė kraujavimo, atlikus intervenciją, rizika), kraujo krešėjimo rodikliai, gretutinės ligos (kepenų funkcijos nepakankamumas, cirozė, ascitas) ir vartojami medikamentai (mažos molekulinės masės heparinas, aspirinas, rivaroksabamas) [5]. Viena iš sudėtingiausių komplikacijų, reikalaujančių greitos diagnostikos ir gydymo, yra vidinis kraujavimas. Mokslinės literatūros duomenimis, jis dažniausiai pasireiškia iš karto po procedūros, o kartais ir vėlesniu (iki 7 dienų) laikotarpiu. Dažniausiai po perkutaninės kepenų biopsijos kraujuoja į intraperitoninį tarpą, todėl, atlikus šią intervencinę procedūrą, daugeliu atvejų pirmiausia atliekama viršutinio pilvo aukšto echoskopija (VPAE) [6].

Hemotoraksas po minėtos intervencijos yra reta komplikacija (mokslinės literatūros duomenimis, pasireiškia iki 0,03 proc. atvejų). Vėlyva hemotorakso diagnostika sudaro sąlygas pūlingoms komplikacijoms išsivystyti, todėl sudėtingėja chirurginio gydymo taktika (atliekamos atviros krūtinės operacijos), ilgėja gydymo stacionare trukmė, didėja gydymo kaštai [2]. Įtariant hemotoraksą ar esant neaiškiai paciento būklei po kepenų biopsijos, diagnozei patikslinti rekomenduojama atlikti krūtinės ląstos Ro ir (ar) krūtinės KT. Ypač paprasta ir turinti didelę diagnostinę vertę yra pleuros ertmės aspiracinė punkcija. Punkcijos metu gautas kraujas ir (ar) krešuliai patvirtina hemotorakso diagnozę. Pirmoji pagalba šiai patologijai gydyti yra pleuros ertmės drenavimas.

Urgentinės torakotomijos indikacijas lemia intensyvus kraujavimas pleuros ertmėje ir nestabili paciento hemodinamika. Esant stabiliai hemodinamikai, hemotoraksui gydyti vadinamasis auksinis standartas yra VATS. Laiku atlikta pleuros ertmės sanacija apsaugo nuo sukrešėjusio hemotorakso, kuris dažniausiai pradeda formuotis praėjus 24 val. po dreno įvedimo.

Mokslinės literatūros duomenimis, 17,6–28,9 proc. atvejų pasireiškia sukrešėjęs hemotoraksas, apibrėžiamas kaip liekamieji krešuliai, kurių dydis yra ne mažesnis kaip 500  ml [3, 7]. Šiai patologijai patvirtinti atliekama krūtinės KT. Tais atvejais, kai pasireiškia sukrešėjęs hemotoraksas, išauga vėlyvųjų komplikacijų (pleuros empiemos ir fibrotorakso) rizika, didėja pacientų sergamumas ir mirtingumas. Vienintelis gydymo būdas – atviroji operacija [3].

VATS yra patikima ir efektyvi minimaliai invazinė chirurginė operacija sukrešėjusiam hematoraksui anksti diagnozuoti ir gydyti [8]. Svarbu atlikti VATS praėjus 48–72 val. nuo hemotorakso diagnozės patvirtinimo. Ankstyva ir laiku atlikta torakoskopinė intervencija sumažina ligos progresavimo ir mirties tikimybę. VATS, atliekama šeštą ligos dieną ir (ar) vėliau, siejama su 15,8 proc. didesne atvirosios torakotomijos tikimybe [3].

Išvada

Hemotoraksas – itin reta jatrogeninė komplikacija, galinti kilti atlikus kepenų biopsiją.

Kepenų biopsija laikytina vadinamuoju auksiniu standartu, diagnozuojant kepenų ligas. Procedūra yra saugi, jei ją atliekant laikomasi rekomendacijų, kontroliuojama UG ir (ar) KT. Ypač svarbi komplikacijų po šios procedūros prevencija, ankstyva diagnostika ir laiku skirto gydymo taktika.

Po kepenų biopsijos praėjus 2–3 val. ir (ar) atsiradus nusiskundimų, rekomenduojama atlikti ne tik VPAE, bet ir krūtinės ląstos Ro dėl galimo vidinio kraujavimo pleuros ertmėje.

Literatūra

1. Chan M, Navarro VJ. Percutaneous Liver Biopsy. In: Clinical Hepatology: Principles and Practice of Hepatobiliary Diseases. StatPearls Publishing, 2023, p. 463–472.

2. Thomaides-Brears HB, Alkhouri N, Allende D, Harisinghani M, Noureddin M, Reau NS, French M, Pantoja C, Mouchti S, Cryer DRH. Incidence of Complications from Percutaneous Biopsy in Chronic Liver Disease: A Systematic Review and Meta-Analysis. Dig Dis Sci 2022; 67(7): 3366–3394.

3. Zeiler J, Idell S, Norwood S, Cook A. Hemothorax: A Review of the Literature. Clin Pulm Med 2020; 27(1): 1–12.

4. Pohnán R, Blažková Š, Hytych V, Svoboda P, Makeľ M, Holmquist I, Ryska M. Treatment of Hemothorax in the Era of the Minimally Invasive Surgery. Mil Med Sci Lett (Voj Zdrav Listy) 2019; 88(4): 180–187.

5. Midia M, Odedra D, Shuster A, Midia R, Muir J. Predictors of Bleeding Complications Following Percutaneous Image-Guided Liver Biopsy: A Scoping Review. Diagn Interv Radiol 2019; 25(1): 71–80.

6. Boyd A, Cain O, Chauhan A, Webb GJ. Medical Liver Biopsy: Background, Indications, Procedure and Histopathology. Frontline Gastroenterology 2020; 11(1): 40–47. DOI: 10.1136/flgastro-2018-101139.

7. Rossmann M, Altomare M, Pezzoli I, Abruzzese A, Spota A, Vettorello M, Cioffi SPB, Virdis F, Bini R, Chiara O, Cimbanassi S. Risk Factors for Retained Hemothorax after Trauma: A 10-Years Monocentric Experience from First Level Trauma Center in Italy. J Pers Med 2022; 12(10): 1570. DOI: 10.3390/jpm12101570.

8. Chou YP, Lin HL, Wu TC. Video-Assisted Thoracoscopic Surgery for Retained Hemothorax in Blunt Chest Trauma. Curr Opin Pulm Med 2015; 21(4): 393–398. DOI: 10.1097/MCP.0000000000000173.