Lietuvos chirurgija ISSN 1392–0995 eISSN 1648–9942
2021, vol. 20(2), pp. 95–102 DOI: https://doi.org/10.15388/LietChirur.2021.20.45
Domas Kurlavičius
Reumatologijos, ortopedijos-traumatologijos ir rekonstrukcinės chirurgijos klinika, Klinikinės medicinos institutas, Vilniaus universiteto Medicinos fakultetas, Vilnius, Lietuva
Clinic of Rheumatology, Orthopedics-Traumatology and Reconstructive Surgery, Institute of Clinical Medicine, Faculty of Medicine, Vilnius University, Vilnius, Lithuania
Vilniaus universiteto ligoninė Santaros klinikos, Vilnius, Lietuva
Vilnius University Hospital Santaros Klinikos, Vilnius, Lithuania
El. paštas domas.kurlavicius@gmail.com
Gediminas Rauba
Respublikinė Vilniaus universitetinė ligoninė, Vilnius, Lietuva
Republican Vilnius University Hospital, Vilnius, Lithuania
El. paštas gediminas.rauba@rvul.lt
Giedrė Stundžaitė-Baršauskienė
Reumatologijos, ortopedijos-traumatologijos ir rekonstrukcinės chirurgijos klinika, Klinikinės medicinos institutas, Vilniaus universiteto Medicinos fakultetas, Vilnius, Lietuva
Clinic of Rheumatology, Orthopedics-Traumatology and Reconstructive Surgery, Institute of Clinical Medicine, Faculty of Medicine, Vilnius University, Vilnius, Lithuania
Vilniaus universiteto ligoninė Santaros klinikos, Vilnius, Lietuva
Vilnius University Hospital Santaros Klinikos, Vilnius, Lithuania
El. paštas stundzaite@gmail.com
Santrauka. Straipsnyje nagrinėjama viena iš sudėtingiausių plastinės ir rekonstrukcinės chirurgijos praktikoje pasitaikančių plaštakos traumų – viršutinės galūnės minkštųjų audinių atsluoksniavimo (Degloving) amputacija. Pristatomas moters, patyrusios šią traumą, klinikinis atvejis, aptariama gydymo eiga, atokieji funkciniai ir estetiniai rezultatai.
Reikšminiai žodžiai: minkštųjų audinių atsluoksniavimo amputacija, laisvasis įnervuotas nugarinės pėdos arterijos lopas, atokieji funkciniai ir estetiniai rezultatai.
Abstract. The article deals with one of the most complex hand injuries in the practice of plastic and reconstructive surgery – amputation of degloving the upper tissues of the upper limb. The clinical case of a woman who has suffered from this trauma, the course of treatment, remote functional and aesthetic results are presented.
Key words: soft tissue exfoliation amputation, free nervous flap of dorsal foot artery, distant functional and aesthetic results.
Received: 2021/02/03. Accepted: 2021/03/26.
Copyright © 2021 Domas Kurlavičius, Gediminas Rauba, Giedrė Stundžaitė-Baršauskienė. Published by Vilnius University Press. This is an Open Access article distributed under the terms of the Creative Commons Attribution Licence, which permits unrestricted use, distribution, and reproduction in any medium, provided the original author and source are credited.
Visiškas plaštakos minkštųjų audinių atsluoksniavimas (Degloving amputacija) yra viena sudėtingiausių plaštakos traumų. Šios traumos metu tiesiogiai apnuoginamos sausgyslės, kaulai, sąnariai ir kitos svarbios struktūros. Siekiant atkurti prarastas plaštakos funkcijas, svarbu ne tik kuo greičiau ligonį operuoti ir padengti susidariusius defektus, bet ir siekti kuo geresnių funkcinių ir estetinių rezultatų [1, 2].
Minėtų traumų gydymo būdai, jų variacijos iki šiol yra aktuali mokslinių straipsnių diskusijų tema [3–9]. Degloving amputacijos metu susidariusiems defektams padengti dažniausiai neužtenka vietinių arba regioninių lopų [10]. Didesnes galimybes šiems sudėtingiems plaštakos defektams padengti atvėrė mikrochirurgija (chirurginis metodas). Kartu atsirado galimybė atkurti sužaloto segmento jutimus – būtent tai labai svarbu plaštakai [11, 12].
Siekiant kuo geresnio sužalotos plaštakos funkcinio ir estetinio rezultato, pirmenybė teikiama plonesniems lopams – naudojami fasciokutaniniai, odos ir raumens, odos perforatoriniai, taukinės lopai [13, 14]. Išvardyti lopų tipai turi ir privalumų, ir trūkumų. Straipsnyje aptariamu atveju naudotas A. dorsalis pedis lopas. Jis priskiriamas prie fasciokutaninių lopų. A. dorsalis pedis lopo privalumai: plonas, juo galima atkurti pažeistos vietos jutimus. Vienas iš dažniausiai minimų trūkumų – sunkiai gyjanti donorinė vieta [15–18].
Į VšĮ Respublikinę Vilniaus universitetinę greitosios pagalbos ligoninę 2004 m. spalio mėn. pristatyta 43 m. moteris, patyrusi sunkią traumą – volais buvo nuplėšti kairės plaštakos minkštieji audiniai, per proksimalinius tarppirštakaulinius sąnarius amputuoti II ir V pirštai. Pacientė skubiai hospitalizuota į Plastinės ir rekonstrukcinės chirurgijos skyrių operacinio gydymo. Priimtas sprendimas minkštųjų audinių defektus padengti kirkšnies lopu.
1 pav. 
2 pav. 
Kairės plaštakos minkštųjų audinių Degloving amputacija. Nugarinis ir delninis paviršiai (1 ir 2 pav.)
3 pav.
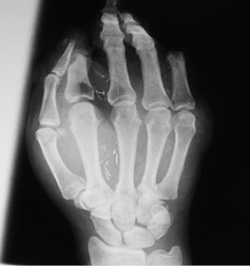
4 pav. 
Priekinė ir šoninė kairės plaštakos rentgenograma. Stebimi II ir V pirštų kauliniai defektai per proksimalinį interfalanginį sąnarį (3 ir 4 pav.)
Pacientė operuota esant bendrinei nejautrai, minkštųjų audinių defektas padengtas kirkšnies lopu. Lopui prigijus, 2005 m. vasario ir lapkričio mėn. moteris stacionarizuota pakartotinai, lopas atskirtas nuo donorinės vietos, pradėti formuoti pirštai – atlikta desindaktilizacija ir lopo redukcija, lopas perskirtas tarp III ir IV pirštų, suformuojant dviejų pirštų kompleksus. Nugarinis paviršius padengtas skeltos odos transplantatu. Stebėti suformuotų pirštų judesiai, daugiausia per delnakaulinius pirštakaulių sąnarius.
5 pav.
6 pav 
7 pav.
8 pav. 
Vaizdas po I rekonstrukcijos etapo. Prigijęs kirkšnies lopas vėliau atskirtas nuo donorinės vietos ir perskeltas tarp III ir IV pirštų, suformuojant dviejų pirštų kompleksus. Stebimas minkštųjų audinių perteklius, ypač ties IV pirštu, kur buvusi lopo „kojytė“ ir darbiniame suformuoto piršto paviršiuje atsivėrusi opelė (5–8 pav.)
Pacientė operuota ranka naudodavosi buityje, tačiau ilgiau padirbus išopėdavo darbiniai pirštų paviršiai (8 pav.), todėl nuspręsta iš dešinės pėdos persodinti laisvąjį įnervuotą fasciokutaninį I tarpupirščio nugarinės pėdos arterijos lopą. Pacientė hospitalizuota ir 2006 m. birželio mėn. operuota. Atliktas zigzaginis pjūvis delne, išpreparuotos arterijos ir nervų bigės, rieše – galvinė vena. Pašalintas audinių perteklius III ir IV pirštų delniniuose paviršiuose, desindaktilizuota V piršto bigė. Nuo pėdos kartu su nugarine pėdos arterija ir poodine vena atpreparuotas fasciokutaninis I tarpupirščio pėdos nugarinio paviršiaus lopas, įnervuotas giliuoju šeiviniu nervu ir blauzdos odos nervu. Lopas perkeltas ant rankos, donorinė sritis pėdoje padengta perforuota skelta oda iš dešinės kirkšnies. Lopas plaštakoje prisiūtas į defekto vietą. Naudojant operacinį mikroskopą, susiūtos venos, lopo kraujagyslė susiūta su paviršinio lanko arterija, gilusis šeivinis nervas susiūtas su smiliaus savuoju nervu, blauzdos odos nervas susiūtas su III–IV pirštų bendruoju nervu. Plaštaka imobilizuota gipso longete.
9 pav.
10 pav. 
11 pav.
12 pav. 
Vaizdas po II rekonstrukcijos etapo. Nuo dešinės pėdos pakeltas ir ant kairės plaštakos voliarinio paviršiaus transplantuotas laisvasis įnervuotas fasciokutaninis I tarpupirščio nugarinės pėdos arterijos lopas (9–12 pav.). 11 ir 12 pav. – vaizdas po 3 mėn.
Vėliau pacientė dar keletą kartų hospitalizuota į stacionarą, jai atlikta odos „Z“ plastika tarpupirščiuose dėl susiformavusių traukiančių randų. Praėjus 13 m. po laisvojo įnervuoto lopo transplantacijos, pacientė pakviesta įvertinti rekonstruotos plaštakos, pirštų jautrumo ir funkcionalumo. Pirštų jautrumas buvo vertinamas naudojant dviejų taškų diskriminacijos testą. Vertintas statinis (švelnus bakstelėjimas sensitometro adatėlėmis į odos paviršių) ir dinaminis (švelnus braukimas sensitometro adatėlėmis per odos paviršių) pirštų jautrumas, fiksuojant greitai ir lėtai į sudirginimą reaguojančius receptorius. Pacientės prašyta atsakyti, kokiu mažiausiu atstumu ji jaučia dirginimą kaip du taškus, o ne kaip vieną. Nustatyta, jog tiek statinio, tiek dinaminio jautrumo dažniausia riba buvo 13–15 mm. Plaštakos funkcionalumui įvertinti pacientės paprašyta paimti rašiklį, parodyti, kaip rašo. Įvertinta ir nufotografuota lopo donorinė vieta.
13 pav.
14 pav. 
15 pav.

Atokieji rezultatai, praėjus maždaug 13 m. po rekonstrukcinių operacijų. Pacientės taip pat paprašyta parodyti, kaip sugeba suimti rašiklį. Nufotografuota donorinė dešinės pėdos vieta (13–15 pav.)
Degloving traumos metu oda kartu su kitais plaštakos paviršiniais minkštaisiais audiniais nuplėšiama nuo nervų, kraujagyslių, kaulų, sąnarių ir sausgyslių, todėl, siekiant išsaugoti galūnę, svarbu ligonį nedelsiant operuoti [1]. Chirurgo užduotis – ne tik padengti susidariusius defektus, bet ir siekti kuo geresnių funkcinių ir estetinių rezultatų [19–21]. Norint pasiekti norimą rezultatą, dažniausiai tenka persodinti kelis lopus, prireikia ne vienos operacijos – tai dar sykį patvirtina šių traumų sudėtingumą. Defekto padengimas, derinant skirtingus lopus, kai kartu naudojamas įnervuotas lopas, minėtu atveju yra vienas iš efektyviausių gydymo metodų [22, 23].
Straipsnyje aptartu klinikiniu atveju, remiantis pasauline praktika, potrauminis plaštakos minkštųjų audinių defektas pirmiausia buvo padengtas kirkšnies lopu, vėliau, siekiant atkurti jutimus, pasirinktas laisvasis įnervuotas nugarinės pėdos arterijos lopas.
Mokslinėje literatūroje, kaip vietinis pasuktinis lopas, nugarinės pėdos arterijos lopas pirmą kartą aprašytas J. B. McCraw ir L. T. Furlow 1975 m. Dar 1976 m. K. Ohmori ir K. Harii nurodė, kad šį lopą galima transplantuoti laisvuoju mikrochirurginiu metodu, siekiant rekonstruoti kitas kūno vietas [24]. Laisvojo nugarinės pėdos arterijos lopo privalumai – plonumas, mobilumas, galimybė kartu transplantuoti tiesiamąsias sausgysles, nervus. Tai buvo vienas pirmųjų jutiminių lopų, panaudotų rekonstrukcinėje chirurgijoje; jis naudojamas galvos, kaklo, plaštakos, kojų defektų rekonstrukcijai [25, 26]. A. dorsalis pedis lopas tinkamas susidariusiems plaštakos defektams padengti, kur reikia atkurti įnervaciją [27]. Išvardytos lopo savybės lėmė jo pasirinkimą ir nagrinėtu klinikiniu atveju.
Nugarinės pėdos arterijos lopas yra ašinis lopas, jo kraujagyslinė kojytė yra ilga, skersmuo svyruoja maždaug 2–3 mm. Nemažas arterijos spindis palengvina donorinės ir recipientinės arterijų mikrochirurginį anostomozės suformavimą, mažina ankstyvųjų komplikacijų riziką [28].
Japonų mokslininkų atliktoje studijoje tirti vėlyvieji pacientų plaštakos jutimai po defektų padengimo nugarinės pėdos arterijos lopu. Pacientams, kurių lopo gilusis šeivinis nervas buvo susiūtas su vidurinio nervo šakomis plaštakoje, nustatytas geresnis jutiminis atsakas negu tiems pacientams, kurių lopo gilusis šeivinis nervas susiūtas su paviršine stipininio nervo šaka. Pirmosios grupės pacientų dviejų taškų diskriminacijos testo riba – tarp 10 ir 20 mm, antrosios – didesnis negu 30 mm [29]. Kitų studijų duomenimis, persodinant nugarinės pėdos arterijos lopą, plaštakoje gaunamas pakankamas jutiminis rezultatas, apibrėžiamas kaip „naudingas jutimas“ [30, 31].
Straipsnyje aptartu klinikiniu atveju donorinis gilusis šeivinis ir blauzdos odos nervai buvo sujungti su vidurinio nervo šakomis plaštakoje. Vėlyvųjų rezultatų dviejų taškų diskriminacijos testo riba – 13–15 mm. Gautas geras sensorinis atsakas. Duomenys atitinka mokslinėje literatūroje aprašytus rezultatus.
Mokslinės literatūros duomenimis, viena iš pagrindinių nugarinės pėdos arterijos lopo problemų – ilgai gyjanti donorinė vieta, dažnai galinti komplikuotis pūlinga infekcija ar net osteomielitu, reikalaujančiu papildomų chirurginių intervencijų [15–18]. Pacientai dažnai skundžiasi donorinės vietos skausmu, parastezija arba hiperestezija. Mokslinėje literatūroje minima ir donorinės vietos hiperpigmentacija, odos kraštų nekrozė, ryškus randėjimas [15]. Straipsnyje pristatytu atveju taip pat susidurta su tam tikromis problemomis – minėtinas antrinis donorinės vietos gijimas, hiperpigmentacija, odos kraštų nekrozė, ryškus randėjimas.
Mokslinių tyrimų duomenimis, plaštakos defektų rekonstrukcinėje chirurgijoje naudojami priekinis ir šoninis šlaunies, taukinės, dilbio radialinis lopai. Taukinės lopas pasižymi geromis angiogenezinėmis savybėmis, skatina infekuotų žaizdų gijimą. Persodinta oda priauga labai greitai ir tvirtai, lopą galima pailginti. Dažniausi trūkumai: reikia atlikti laparotomiją, ilgėja operacijos trukmė, taukinės preparavimas yra gana traumuojantis operacijos etapas, kyla sąaugų rizika, jei praeityje buvo atlikta pilvo ertmės operacija [3, 32, 33]. Dilbio radialinis lopas kaip alternatyva buvo svarstoma ir nagrinėtu klinikiniu atveju, tačiau šio gydymo pacientė atsisakė, norėdama išsaugoti sveikąją plaštaką. Tai, kokį lopą naudoti konkrečiu atveju, yra chirurgo ir paciento pasirinkimas.
Sudėtingas, dažniausiai iš kelių etapų susidedantis chirurginis gydymas yra vienintelė priemonė sužalotai plaštakai išsaugoti ir visiškai ar iš dalies jos funkcijai atkurti po sudėtingų trauminių sužalojimų. Nagrinėtas klinikinis atvejis atskleidė, kad gydymas buvo sėkmingas, pirštų jutimas iš dalies atsistatė, pacientė plaštaka naudojasi buityje. Lopo donorinė vieta gijo sunkiai, antriniu būdu.
1. Ju J, Li J, Hou R. Microsurgery in 46 cases with total hand degloving injury. Asian Journal of Surgery 2015; 38(4): 205–209. https://doi.org/10.1016/j.asjsur.2015.01.004
2. Das De S, Sebastin SJ. Considerations in Flap Selection for Soft Tissue Defects of the Hand. Clinics in Plastic Surgery 2019; 46(3): 393–406. https://doi.org/10.1016/j.cps.2019.03.010
3. Tutkus V, Vitkus K, Proskute D. Use of the omental free flap for reconstruction of degloving hand and foot injuries: two case reports. Open Medicine 2012; 7(6): 808–812. https://doi.org/10.2478/s11536-012-0075-z
4. Ulrich D, Fuchs P, Bozkurt A, Pallua N. Free serratus anterior fascia flap for reconstruction of hand and finger defects. Arch Orthop Trauma Surg 2010; 130(2): 217–222. https://doi.org/10.1007/s00402-009-0845-5
5. Krishnamoorthy R, Karthikeyan G. Degloving injuries of the hand. Indian J Plast Surg 2011; 44(2): 227–236. https://doi.org/10.4103/0970-0358.85344
6. Weinand C. Degloving Injuries of Upper Extremity: A Strategy with Full Thickness Skin Mesh. WJPs 2018; 7(3): 372–376. https://doi.org/10.29252/wjps.7.3.372
7. Żyluk A, Janowski P. Results of the Treatment of Major, Complex Hand Injuries. Polish Journal of Surgery 2011; 83(2): 87–94. https://doi.org/10.2478/v10035-011-0014-8
8. Han F, Wang G, Li G, Ping J, Mao Z. Treatment of degloving injury involving multiple fingers with combined abdominal superficial fascial flap, dorsalis pedis flap, dorsal toe flap, and toe-web flap. Ther Clin Risk Manag 2015; 11: 1081–1087. https://doi.org/10.2147/tcrm.s86948
9. Neumeister M, Hegge T, Amalfi A, Sauerbier M. The Reconstruction of the Mutilated Hand. Seminars in Plastic Surgery 2010; 24(1): 77–102. https://doi.org/10.1055/s-0030-1253245
10. Dibbs R, Grome L, Pederson W. Free Tissue Transfer for Upper Extremity Reconstruction. Seminars in Plastic Surgery 2019; 33(1): 17–23. https://doi.org/10.1055/s-0039-1677702
11. Saint-Cyr M, Wong C, Buchel EW, Colohan S, Pederson WC. Free Tissue Transfers and Replantation. Plastic and Reconstructive Surgery 2012; 130(6): 858e–878e. https://doi.org/10.1097/prs.0b013e31826da2b7
12. Ono S, Sebastin SJ, Ohi H, Chung KC. Microsurgical Flaps in Repair and Reconstruction of the Hand. Hand Clinics 2017; 33(3): 425–441. https://doi.org/10.1016/j.hcl.2017.04.001
13. Wolff KD, Hölzle F. Perforator Flaps. In: Raising of Microvascular Flaps [Internet]. Berlin, Heidelberg: Springer Berlin Heidelberg, 2011, p. 155–158. Available at: . Accessed: 9 December 2020. https://doi.org/10.1007/978-3-642-13831-7_8
14. Georgescu AV, Matei IR. Propeller perforator flaps in forearm and hand reconstruction. Eur J Orthop Surg Traumatol 2019; 29(2): 357–366. https://doi.org/10.1007/s00590-018-2323-7
15. Russo A, Delia G, Casoli V, Colonna MR, Stagno d’Alcontres F. Dorsalis Pedis Adipofascial Perforator flap for great toe reconstruction: Anatomical study and clinical applications. Journal of Plastic, Reconstructive & Aesthetic Surgery 2014; 67(4): 550–554. https://doi.org/10.1016/j.bjps.2013.12.019
16. Samson MC, Morris SF, Tweed AEJ. Dorsalis pedis flap donor site: acceptable or not? Plastic & Reconstructive Surgery 1998; 102(5): 1549–1554. https://doi.org/10.1097/00006534-199810000-00031
17. Ismail TI. The dorsalis pedis myofascial flap. Plast Reconstr Surg 1990; 86(3): 573–576; discussion 577–578. https://doi.org/10.1097/00006534-199009000-00035
18. Franklin JD, Withers EH, Madden JJ, Lynch JB. Use of the Free Dorsalis Pedis Flap in Head and Neck Repairs. Plastic and Reconstructive Surgery 1979; 63(2): 195–204. https://doi.org/10.1097/00006534-197902000-00007
19. Chen C, Zhang X, Shao X, Gao S, Wang B, Liu D. Treatment of Thumb Tip Degloving Injury Using the Modified First Dorsal Metacarpal Artery Flap. The Journal of Hand Surgery 2010; 35(10): 1663–1670. https://doi.org/10.1016/j.jhsa.2010.06.030
20. Nazerani S, Motamedi MHK, Nazerani T, Bidarmaghz B. Treatment of Traumatic Degloving Injuries of the Fingers and Hand: Introducing the “Compartmented Abdominal Flap”. Techniques in Hand & Upper Extremity Surgery 2011; 15(3): 151–155. https://doi.org/10.1097/bth.0b013e3182051c02
21. Zelken JA, Chang N, Wei F, Lin C. The combined ALT–groin flap for the mutilated and degloved hand. Injury 2015; 46(8): 1591–1596. https://doi.org/10.1016/j.injury.2015.05.022
22. Doctor AM, Mathew J, Ellur S, Ananthram AA. Three-flap cover for total hand degloving. Journal of Plastic, Reconstructive & Aesthetic Surgery 2010; 63(4): e402–405. https://doi.org/10.1016/j.bjps.2009.10.007
23. Senda H, Muro H, Terada S, Okamoto H. A Case of Degloving Injury of the Whole Hand Reconstructed by a Combination of Distant Flaps Comprising an Anterolateral Thigh Flap and a Groin Flap. J Reconstr Microsurg 2011; 27(5): 299–302. https://doi.org/10.1055/s-0031-1278708
24. Ritz M, Mahendru S, Somia N, Pacifico M. The Dorsalis Pedis Fascial Flap. J Reconstr Microsurg 2009; 25(5): 313–317. https://doi.org/10.1055/s-0029-1215541
25. Tubiana R. The Hand. Volume III. W.B. Saunders Company, 1988, p. 1250–1253.
26. Xie G, Hu Z, Miao C, Chen W, Mei L. The free triple chimeric dorsalis pedis flaps for repair of multifinger soft tissue defects: A report of two cases. Microsurgery 2013; 33(8): 660–666. https://doi.org/10.1002/micr.22088
27. Zuker RM, Manktelow RT. The Dorsalis Pedis Free Flap: Technique of Elevation, Foot Closure, and Flap Application. Plastic and Reconstructive Surgery 1986; 77(1): 93–104. https://doi.org/10.1097/00006534-198601000-00014
28. Ohmori K, Harii K. Free dorsalis pedis sensory flap to the hand with microneurovascular anastomoses. Plastic and Reconstructive Surgery 1976; 58(5): 546–554. https://doi.org/10.1097/00006534-197611000-00003
29. Takami H, Takahashi S, Ando M. Use of the dorsalis pedis free flap for reconstruction of the hand. Hand 1983; 15(2): 173–178. https://doi.org/10.1016/s0072-968x(83)80010-2
30. McCraw JB. On the transfer of a free dorsalis pedis sensory flap to the hand. Plast Reconstr Surg 1977; 59(5): 738–739. https://doi.org/10.1097/00006534-197705000-00021
31. Morrison WA, O’Brien BMcC, MacLeod AM, Gilbert A. Neurovascular free flaps from the foot for innervation of the hand. The Journal of Hand Surgery 1978; 3(3): 235–242. https://doi.org/10.1016/s0363-5023(78)80087-2
32. Seitz IA, Williams CS, Wiedrich TA, Henry G, Seiler JG, Schechter LS. Omental Free-tissue Transfer for Coverage of Complex Upper Extremity and Hand Defects – The Forgotten Flap. Hand (New York, NY) 2009; 4(4): 397–405. https://doi.org/10.1007/s11552-009-9187-6
33. Maloney CT, Wages D. Free omental tissue transfer for extremity coverage and revascularization. Plast Reconstr Surg 2003; 111(6): 1899–1904. https://doi.org/10.1097/01.prs.0000056874.31920.7d