Lietuvos chirurgija ISSN 1392–0995 eISSN 1648–9942
2021, vol. 20(1), pp. 32–40 DOI: https://doi.org/10.15388/LietChirur.2021.20.39

Laivelio lūžio rekonstrukcija šonkaulio autotransplantatu: klinikinis atvejis ir literatūros apžvalga

Mantas Fomkinas
Medicinos fakultetas, Medicinos akademija, Lietuvos sveikatos mokslų universitetas, Kaunas, Lietuva
Faculty of Medicine, Medical Academy, Lithuanian University of Health Sciences, Kaunas, Lithuania
El. paštas
mfomkinas@gmail.com

Mantas Kievišas
Plastinės ir rekonstrukcinės chirurgijos klinika, Lietuvos sveikatos mokslų universiteto ligoninė Kauno klinikos, Kaunas, Lietuva
Department of Plastic and Reconstructive Surgery, Hospital of Lithuanian University of Health Sciences Kauno Klinikos, Kaunas, Lithuania
El. paštas
mantas.kiev@gmail.com

Kęstutis Braziulis
Plastinės ir rekonstrukcinės chirurgijos klinika, Lietuvos sveikatos mokslų universiteto ligoninė Kauno klinikos, Kaunas, Lietuva
Department of Plastic and Reconstructive Surgery, Hospital of Lithuanian University of Health Sciences Kauno Klinikos, Kaunas, Lithuania
El. paštas
kestutis.braziulis@gmail.com

Rytis Rimdeika
Plastinės ir rekonstrukcinės chirurgijos klinika, Lietuvos sveikatos mokslų universiteto ligoninė Kauno klinikos, Kaunas, Lietuva
Department of Plastic and Reconstructive Surgery, Hospital of Lithuanian University of Health Sciences Kauno Klinikos, Kaunas, Lithuania
El. paštas
Rytis.Rimdeika@kaunoklinikos.lt

Santrauka. Tikslas. Įvertinti laivelio proksimalinio poliaus rekonstrukcijos šonkaulio osteochondriniu autotransplantatu rezultatus, gydant skeveldrinį lūžį. Tyrimo metodai. Pateikiamas laivelio proksimalinio poliaus skeveldrinio lūžio rekonstrukcijos šonkaulio osteochondriniu autotransplantatu klinikinis atvejis. Klinikiniam paciento įvertinimui prieš operaciją ir praėjus 6 mėn. po atliktos rekonstrukcijos pasitelktas modifikuotas Greeno ir O’Brieno riešo funkcijos balas ir Quick Disabilities of the Arm, Shoulder and Hand (QuickDASH) vertinimo skalė. Taip pat, naudojantis Medline (PubMed), ScienceDirect ir UpToDate duomenų bazėmis, atlikta mokslinės literatūros apžvalga, apimanti laivelio proksimalinio poliaus lūžių chirurginio gydymo metodus ir galimybes. Rezultatai. Esant laivelio proksimalinio poliaus lūžiams, ypač skeveldrinio pobūdžio, tradiciniai gydymo metodai dėl techninių atlikimo principų ar numatomų nepalankių išeičių dažnai yra netinkami. Minėtais atvejais galima rekonstrukcija šonkaulio osteochondriniu autotransplantatu. Tirtam pacientui nustatytas modifikuotas Greeno ir O’Brieno riešo funkcijos balas, praėjus 6 mėn. po rekonstrukcinės operacijos, padidėjo nuo 75 iki 95 balų iš 100, o taikant Quick Disabilities of the Arm, Shoulder and Hand (QuickDASH) apskaičiuotas balas sumažėjo nuo 13,64 iki 4,55 balų. Minimų metodikų išeitys atskleidžiamos ir keliuose užsienio tyrimuose (Sandow, 1998, 2001; Veitch et al., 2007). Šių tyrimų duomenimis, atlikus laivelio rekonstrukciją osteochondriniu šonkaulio autotransplantatu, visų tiriamųjų (atitinkamai 22, 47 ir 14 pacientų), išskyrus vieną pacientą, judesio amplitudė ir sugriebimo jėga padidėjo, sumažėjo skausmas, tiriamieji atgavo prieš traumą buvusį darbingumą. Išvados. Atliekant laivelio proksimalinio poliaus skeveldrinio lūžio rekonstrukciją, kai kaulinio audinio defektas atkuriamas osteochondriniu šonkaulio autotransplantatu, pasiekiama palankių riešo funkcijos atkūrimo rezultatų, išvengiama alternatyvioms chirurginėms procedūroms būdingų komplikacijų ar nepalankių funkcinių padarinių.

Reikšminiai žodžiai: laivelis, proksimalinis galas, proksimalinis polius, šonkaulis, laivelio lūžis, laivelio proksimalinio poliaus lūžis, transplantatas, autotransplantatas, šonkaulio autotransplantatas, osteochondrinis, osteochondrinis autotransplantatas.

Scaphoid Fracture Reconstruction with Rib Autograft: Case Report and Literature Review

Abstract. Objective. To evaluate the results of scaphoid bone proximal pole reconstruction with rib osteochondral autograft due to comminuted scaphoid fracture. Material and methods. We present a clinical case of fragmented scaphoid bone proximal pole fracture reconstruction by rib osteochondral autograft. The modified wrist function score of Green and O’Brien and Quick Disabilities of the Arm, Shoulder and Hand (QuickDASH) outcome measuring scales were used for clinical evaluation before and 6 months after the reconstruction. Additio­nally, a literature review was conducted for case reports and previous literature reviews describing scaphoid bone proximal pole fracture surgical treatment. Medline (PubMed), ScienceDirect and UpToDate databases were used. Results. Conventional treatment methods for the treatment of comminuted proximal pole scaphoid bone fractures are often inappropriate due to technical issues or potential adverse outcomes. In these cases, reconstruction with rib autograft is possible. The study patient’s modified wrist function score of Green and O’Brien increased from 75 to 95 points out of 100 at 6 months postoperatively, and the Quick Disabilities of the Arm, Shoulder and Hand (QuickDASH) score decreased from 13.64 to 4.55 points. The results of this technique have been investigated in several studies (Sandow, 1998, 2001; Veitch et al., 2007). All subjects (22, 47 and 14 patients, respectively), except one, experienced improvement of wrist function – enhanced wrist movement, grip strength, reduced pain and restored wrist function to the pre-injury performance level. Conclusions. Scaphoid bone proximal pole fragmented fracture reconstruction with osteochondrial rib autograft achieves favorable recovery of wrist function and avoids complications or unfavorable functional consequences of alternative surgical procedures.

Key words: scaphoid, scaphoid bone, proximal pole, rib, scaphoid fracture, scaphoid proximal pole fracture, graft, autograft, rib autograft, costal autograft, osteochondral, osteochondral autograft.

Received: 2020/09/15. Accepted: 2020/11/10.
Copyright © 2021 Mantas Fomkinas, Mantas Kievišas, Kęstutis Braziulis, Rytis Rimdeika. Published by Vilnius University Press. This is an Open Access article distributed under the terms of the Creative Commons Attribution Licence, which permits unrestricted use, distribution, and reproduction in any medium, provided the original author and source are credited.

Įvadas

Žmogaus plaštakoje riešakauliai yra išsidėstę dviem eilėmis – proksimaline ir distaline. Laivelis yra proksimalinės eilės riešakaulis. Šis kaulas sudaro sąnarius su stipinkauliu, galvinio kaulo galva ir abiem daugiakampiais [1, 2].

Riešakaulių lūžiai sudaro apie 5–8 proc. visų lūžių ir apie 18 proc. rankos kaulų lūžių [2–5]. Laivelis – dažniausiai lūžtantis riešakaulis (apie 2–10 proc. visų rankos kaulų lūžių ir apie 55–80 proc. riešakaulių lūžių) [2, 3, 6–16]. Laivelio lūžių dažniausiai patiria darbingo amžiaus (15–30 m.) žmonės, dažniau vyrai [6, 17]. Neretai laivelio lūžis įvyksta kartu su stipinkaulio distalinio galo lūžiu [6].

Atsižvelgiant į laivelio lūžio lokalizaciją, skirtini proksimalinio poliaus (5–25 %), vidurinės dalies (juosmens) (65–70 %), distalinio poliaus (10–20 %) ir gumburėlio (5–8 %) lūžiai [2, 6, 8, 16, 18]. Nustatyta, kad daugiau negu 85 proc. laivelio lūžių sugyja esant tinkamai imobilizacijai ir fiksacijai [19]. Vis dėlto proksimalinio laivelio poliaus lūžiai kelia daug problemų dėl kraujotakos ypatybių. Laivelį krauju aprūpina stipininės arterijos šakos, kaulą pasiekiančios distaliniame poliuje, iš kurio vėliau maitinamas ir proksimalinis polius [2, 8, 20, 21], todėl laivelio proksimalinio poliaus kraujo apytaka yra prastesnė ir gali lemti blogesnius šios srities kaulų lūžių gijimo rezultatus [2, 8]. Laivelio lūžio gijimo neigiami prognostiniai veiksniai: rūkymas, proksimalinio poliaus lūžis ir avaskulinė jo nekrozė, vėlai diagnozuotas lūžis, dislokuotas lūžis (daugiau negu 1 mm), riešo nestabilumas, nepakankama imobilizacija ar fiksacija ir kt. [6, 19]. Nesugiję laivelio lūžiai lemia plaštakos funkcijos sutrikimus, skausminį sindromą, asmens nedarbingumą ir, tikėtina, ankstyvą osteoartrozės vystymąsi [19]. Dėl šių veiksnių ankstyvoji laivelio lūžių diagnostika ir tinkamas gydymas yra vieni iš svarbiausių faktorių, lemiančių palankius gydymo rezultatus [7, 17].

Laivelių lūžiai gali būti gydomi pasitelkiant imobilizaciją longete, atliekant osteosintezę Kiršnerio vielų atkarpomis ar kompresuojančiu Herberto tipo sraigtu, atliekant kaulinę plastiką, spongioplastiką ant maitinančios kojytės ar artrodezę [6]. Tačiau, esant laivelio proksimalinio poliaus skeveldriniam lūžiui, minėti gydymo metodai dėl techninių atlikimo principų ar tikėtinų nepalankių išeičių dažnai yra netinkami. Tokiu atveju galima rekonstrukcija šonkaulio osteochondriniu autotransplantatu.

Tyrimo objektas ir metodika

Šiame straipsnyje pateikiamas laivelio proksimalinio poliaus skeveldrinio lūžio rekonstrukcijos šonkaulio osteochondriniu autotransplantatu klinikinis atvejis. Klinikiniam paciento įvertinimui prieš operaciją ir praėjus 6 mėn. po atliktos rekonstrukcijos pasitelktas modifikuotas Greeno ir O’Brieno riešo funkcijos balas ir Quick Disabilities of the Arm, Shoulder and Hand (QuickDASH) vertinimo skalė.

Modifikuotas Greeno ir O’Brieno riešo funkcijos balas naudojamas riešo funkcinėms galimybėms įvertinti, pasitelkus keturis lygiaverčius vertinimo kriterijus: skausmą, judesių amplitudę, sugriebimo jėgą ir galimybę dirbti (žr. 1 lentelę). Kiekvienas kriterijus vertinamas nuo 0 iki 25 balų, skaičiuojama balų suma. Didžiausia, t. y. 100 balų, suma atitinka sveiko riešo funkcines galimybes.

Quick Disabilities of the Arm, Shoulder and Hand (QuickDASH) klausimynas skirtas viršutinės galūnės muskuloskeletinės sistemos funkciniams sutrikimams įvertinti kasdienėje gyvenimiškoje veikloje. Klausimyną sudaro 11 pagrindinių ir 8 papildomi klausimai apie darbą ir pomėgius. Kiekvienas klausimas vertinamas balais nuo 1 iki 5, vėliau, pasitelkus specialią formulę, apskaičiuojamas galutinis įvertis. Didžiausias įvertis, siekiantis 100 balų, atspindi viršutinės galūnės funkcinius sutrikimus.

Taip pat atlikta mokslinės literatūros anglų kalba, publikuotos 1980–2019 m. duomenų bazėse Medline (PubMed), ScienceDirect ir UpToDate, apžvalga ir analizė. Aktualūs moksliniai straipsniai atrinkti pagal reikšminius žodžius ir jų derinius: scaphoid bone fracture, scaphoid fracture, scaphoid proximal pole fracture, rib graft, rib autograft, costal graft, costal autograft, osteochondral graft, osteochondral autograft.

1 lentelė. Modifikuoto Greeno ir O’Brieno riešo funkcijos balo (angl. The modified wrist function score of Green and O’Brien) charakteristika [22, 23]

Balas

0

10

15

20

25

Skausmas

Stiprus, skauda esant ramybės būsenos

Vidutinis, riboja veiklą; skausmo nėra, esant ramybės būsenos

Lengvas, reguliarus, veiklos smarkiai neriboja

Lengvas, pasireiškia retkarčiais

Skausmo
nėra

Judesių amplitudė (bendrasis judesio lankas, o)

<40

40–69

70–99

100–140

>140

Sugriebimo jėga (palyginti su sveikąja puse, %)

<50

 

50–74

75–90

Normali.

Darbas

Negali dirbti.

Dėl riešo skausmo galimi tik lengvi darbai.

Įprastas darbas; kartais reikia skausmą malšinančių vaistų.

Apribojimų
nėra.

Klinikinis atvejis

24 m. vyras atvyko į apskrities ligoninę dėl šautinio kairiojo riešo sužalojimo. Pacientas susižalojo namuose, valydamas šaunamąjį ginklą. Apžiūros metu nustatyta apie 15 mm šautinė įeigos žaizda delniniame riešo paviršiuje ir apie 10 mm šautinė išeigos žaizda nugariniame paviršiuje. Plaštakos kraujotaka ir jutimai nebuvo sutrikę.

Skubiai atlikus riešo sąnario kompiuterinę tomografiją, nustatytas skeveldrinis laivelio proksimalinio galo lūžis, stipinkaulio distalinio dorzalinio krašto intrasąnarinis lūžis ir smulki mėnulio avulsija (žr. 1 pav.).

Priimtas sprendimas pervežti pacientą į Lietuvos sveikatos mokslų universiteto ligoninę Kauno klinikas (LSMUL KK). Po plastinės ir rekonstrukcinės chirurgijos gydytojo konsultacijos pacientas stacionarizuotas į LSMUL KK Plastinės ir rekonstrukcinės chirurgijos kliniką tolesniam gydymui. Atlikus žaizdos reviziją, nuspręsta plaštaką imobilizuoti gipso longete, atidedant vidinę kaulų osteosintezę.

Po 3 mėn. konservatyvaus gydymo pacientas pakartotinai konsultuotas ir stacionarizuotas į LSMUL KK Plastinės ir rekonstrukcinės chirurgijos kliniką tolesniam operacinio gydymo etapui. Prieš operaciją įvertinti klinikiniai simptomai, pasitelkus modifikuotą Greeno ir O’Brieno riešo funkcijos balą ir Quick Disabilities of the Arm, Shoulder and Hand (QuickDASH) klausimyną (nustatyti įverčiai – atitinkamai 75 ir 13,64 balų). Modifikuoto Greeno ir O’Brieno riešo funkcijos balo sudedamosios vertinimo dalys (skausmas, judesių amplitudė, sugriebimo jėga ir galimybė dirbti) buvo atitinkamai 20, 15, 25 ir 15 balų. Įvertinus Quick Disabilities of the Arm, Shoulder and Hand (QuickDASH) klausimyno atsakymus, pastebėta, kad pacientas susidūrė su sunkumais, susijusiais su darbu ir riešo judesiais. Buvo atlikta operacija – dalinė VI dešiniojo šonkaulio osteo­chondrinės jungties rezekcija ir kairiosios plaštakos laivelio lūžio rekonstrukcija osteochondriniu šonkaulio autotransplantatu.

kairio.jpg 

1 pav. Kairiojo riešo kompiuterinės tomografijos vaizdai prieš operaciją

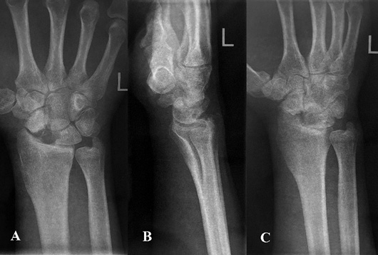
rieso.png 

2 pav. Kairiojo riešo trijų krypčių rentgenogramos po operacijos: priekinė rentgenograma (A), šoninė rentgenograma (B), įstrižinė rentgenograma (C)

Operacijos metu atliktas pjūvis kairiosios plaštakos nugariniame paviršiuje tarp trečiojo ir ketvirtojo tiesiamųjų sausgyslių kompartmento laivelio projekcijoje. Naudojant bukąją ir aštriąją disekciją, pasluoksniui pasiektas kaulas. Rastas nesugijęs laivelio lūžis. Pašalintos proksimalinio laivelio segmento lūžgalių skeveldros, distalinė laivelio dalis rezekuota iki gyvų audinių. Vėliau atliktas apie 5 cm ilgio skersinis pjūvis ties VI dešiniojo šonkaulio krūtinkauliniu galu (mokslinėje literatūroje aprašoma atvejų, kai rekonstrukcijai naudojami V–IX šonkaulių osteochondriniai fragmentai [22, 24, 25]). Naudojant bukąją disekciją, pasluoksniui pasiektas ir nuo aplinkinių audinių, antkaulio ir krūtinplėvės atpreparuotas šonkaulis, atlikta dalinė jo rezekcija. Paimtas apie 3 cm kaulinės ir kremzlinės šonkaulio dalies fragmentas, kuris toliau formuotas pagal laivelio kaulinio defekto formą. Atsižvelgta į rekomendacijas, kad, formuojant transplantatą, jam fiksuoti ir funkcio­nuoti būtina palikti bent 2–3 mm storio šonkaulio kaulinio audinio ir 5 mm šonkaulio hialininės kremzlės [22, 24]. Autotransplantatas perkeltas į proksimalinį laivelio galą, fiksuotas dviem Kiršnerio vielų atkarpomis (žr. 2 pav.). Pjūviai pasluoksniui užsiūti, kairioji plaštaka imobilizuota gipso longete 3 mėn.

Pacientas pakartotinai klinikoje apsilankė praėjus 6 mėn. po rekonstrukcinės operacijos. Jis buvo patenkintas klinikiniais operacijos rezultatais, nes be apribojimų galėjo grįžti prie kasdienių veiklų ir darbo. Atlikus plaštakos goniometriją (žr. 3 pav.), įvertinti klinikiniai rezultatai, pasitelkiant modifikuotą Greeno ir O’Brieno riešo funkcijos balą ir Quick Disabilities of the Arm, Shoulder and Hand (QuickDASH) klausimyną, taip pat atliktos riešo rentgenogramos. Modifikuotas Greeno ir O’Brieno riešo funkcijos balas siekė 95. Balo įvertis, palyginti su pradiniu, prieš rekonstrukcinę operaciją apskaičiuotu įverčiu, padidėjo daugiau negu 20 balų, visų vertintų kategorijų, išskyrus riešo judesių amplitudę, įvertinimai buvo aukščiausi, atitinkantys sveikosios plaštakos rodiklius. Įvertinus Quick Disabilities of the Arm, Shoulder and Hand (QuickDASH) klausimyną, apskaičiuota skaitinė išraiška siekė 4,55 balų, t. y., palyginti su pradiniu įverčiu, sumažėjo 9,09 balų. Paciento atsakymuose fiksuoti minimalūs kasdienės veiklos ribojimai. Taip pat atliktos kairiojo riešo trijų krypčių rentgenogramos (žr. 4 pav.).

goniom.png 

3 pav. Kairiojo riešo goniometrija, praėjus 6 mėn. po operacijos: plaštakos lenkimas (70o) (A), plaštakos tiesimas (45o) (B), plaštakos atitraukimas (25o) (C), plaštakos pritraukimas (30o) (D)

triju.jpg 

4 pav. Kairiojo riešo trijų krypčių rentgenogramos, praėjus 6 mėn. po operacijos: priekinė rentgenograma (A), šoninė rentgenograma (B), įstrižinė rentgenograma (C)

Diskusija

Laivelio lūžio gydymo būdas pasirenkamas pagal lūžio lokalizaciją, stabilumą, dislokacijos laipsnį ir laiką, praėjusį nuo traumos [6]. Mokslinėje literatūroje aprašomi dažniausiai sėkmingi laivelio lūžių gydymo būdai kompresuojančiu Herberto tipo sraigtu, atliekant kaulinę plastiką ar šios plastikos netaikant [22, 26, 27]. Vis dėlto minėtas gydymo būdas netinka, kai lūžis išlieka nesugijęs arba nustatomas proksimalinio poliaus trūkumas, nes tokiais atvejais neįmanoma atlikti kaulinės plastikos ar pasiekti pakankamo stabilumo [22]. Minėtina ir galima spongioplastika ant maitinančios kojytės, atliekant osteosintezę ar jos netaikant [22, 28–36], tačiau šios daug laiko reikalaujančios chirurginės gydymo metodikos yra techniškai sudėtingos ir, gydant nesugyjančius ar proksimalinio poliaus lūžius, neužtikrina gerų rezultatų dėl nepakankamos gydomos srities kraujotakos [22, 30]. Kiti galimi gydymo būdai: laivelio ekscizija ir artrodezė ar proksimalinės riešakaulių eilės karpektomija. Pastarasis būdas gali sumažinti skausmą, tačiau kartu mažėja ir plaštakos judesių amplitudė bei griebimo jėga, todėl šis būdas taikomas kaip galutinio gydymo metodas, esant degeneraciniams riešo pokyčiams [22, 31]. Palyginti gerų funkcinių rezultatų pasiekiama pritaikant laivelio kadaverinius alotransplantatus. Vis dėlto, naudojant šiuos transplantatus, recipientui kyla ligų perdavimo grėsmė [22, 24, 36] ir išauga transplantato atmetimo reakcijų rizika [24, 37]. Buvo bandymų pritaikyti silastiko implantus, tačiau nustatytas silikono sukeltas sinovitas [22, 32, 33]. Taigi laivelio proksimalinio poliaus lūžius patyrusiems pacientams, kuriems atsirado minėtos srities kaulinis defektas, gydymo galimybės yra ribotos. Minėtina, kad pakankamą riešo stabilumą ir funkcinį pajėgumą gali suteikti rekonstrukcija osteochondriniu šonkaulio autotransplantatu.

Laivelio proksimalinio poliaus lūžio rekonstrukcija osteochondriniu šonkaulio autotransplantatu indikuotina esant proksimalinio poliaus defektui dėl skeveldrinio lūžio ar kitų priežasčių, kai neįmanoma išsaugoti kaulo fragmento dėl nepakankamos maitinančiosios kraujotakos. Ši procedūra reliatyviai kontraindikuotina pacientams, turintiems įgimtų ar įgytų krūtinės sienos deformacijų [24].

1998 m. M. J. Sandow [38] aprašė tyrimo, kurio metu analizavo 22 pacientų, patyrusių laivelio proksimalinio poliaus lūžius ar nekrozes, rezultatus. Pacientai gydyti laivelio rekonstrukciją atliekant osteochond­riniu šonkaulio autotransplantatu. Gydymo rezultatai stebėti praėjus vidutiniškai 24 mėn. (12–72 mėn.) po chirurginio gydymo. Nustatyta, kad visų pacientų riešo funkcija pagerėjo – padidėjo judesio amplitudė ir griebimo jėga, sumažėjo skausmas. Rezultatai vertinti modifikuotu Greeno ir O’Brieno riešo funkcijos balu. Šis įvertis, esant 100 balų skalei, didėjo vidutiniškai nuo 53 (fiksuota prieš taikytą operacinį gydymą) iki 80 balų (nustatyta paskutinio stebėjimo metu). Taip pat pastebėta, kad nė vieno paciento riešakaulių padėtis nepakito, kitų reikšmingų komplikacijų taip pat nenustatyta.

2001 m. M. J. Sandow [37] pakartojo tyrimą – analizuoti didesnės tiriamųjų imties (47 pacientų, stebėtų vidutiniškai 15 mėn.) rezultatai. Tyrimas patvirtino anksčiau gautus rezultatus – modifikuotas Greeno ir O’Brieno riešo funkcijos balas padidėjo vidutiniškai nuo 65 balų (prieš taikytą operacinį gydymą) iki 85 balų (paskutinio stebėjimo metu).

Panašų į M. J. Sandow [37, 38] tyrimą 2007 m. pristatė S. W. Veitchas ir bendraautoriai [22]. Tirta 14 pacientų, kuriems atlikta laivelio rekonstrukcija, pasitelkiant osteochondrinius šonkaulių autotransplantatus dėl laivelio proksimalinio poliaus trūkumo. Pacientai vidutiniškai stebėti 64 mėn. (27–103 mėn.). Trylikai pacientų pagerėjo riešo funkcija, jie atgavo prieš traumą buvusį darbingumą. Tyrimo metu taip pat vertintas modifikuotas Greeno ir O’Brieno riešo funkcijos balas. Šis įvertis, esant 100 balų skalei, didėjo vidutiniškai nuo 54 balų (35–80 balų; fiksuota prieš operaciją) iki 79 balų (50–90 balų; nustatyta paskutinio stebėjimo metu) (p < 0,001). Tyrimo metu reikšmingų komplikacijų nenustatyta.

2013 m. J. Yao ir bendraautoriai [24] aprašė tris klinikinius atvejus (A, B ir C), kai laivelio proksimalinio poliaus skeveldriniai lūžiai rekonstruoti osteochondriniais šonkaulių autotransplantatais. Pacientų amžius – 19 m., 27 m. ir 29 m. Visi trys stebėti daugiau negu 2 m. (atitinkamai – 2 m., 2 m. ir 5 mėn., 8 m.). Pakartotinių stebėjimų metu įvertintos plaštakų funkcijos, judesiai ir jėga. Taip pat pasitelktas Quick Disabilities of the Arm, Shoulder and Hand (QuickDASH) klausimynas. Klausimyno įverčiai – atitinkamai 9, 5 ir 7 balai. Minėtina, kad, praėjus 5 mėn. po paskutinio vertinimo, C paciento QuickDASH įvertis padidėjo iki 36 balų. Šį pokytį galėjo lemti darbas pneumatiniu plaktuku, nes darbo pradžia koreliavo su riešo funkcijos blogėjimu. Nepaisant to, pacientas rekonstrukciją osteochondriniu autotransplantatu laikė sėkminga gydomąja procedūra.

Laivelio lūžį gydant chirurgiškai, galimos šios komplikacijos: išliekantis skausmas, nors riešo judesių amplitudė ar griebimo jėga susigrąžintos (iki 20 proc.) [8, 39], osteoartritas (iki 5 proc.) [8, 39–41], osteonekrozė (iki 4 proc.), riešo deformacijos (iki 16 proc.), osteoartrozė, hipertrofiniai randai, riešo nestabilumas, donorinės vietos skausmas, infekcija, fiksuojančių metalinių konstrukcijų protruzija, refleksinė simpatinė distrofija ar riešo raiščių pažeidimas [8, 42–44]. Laivelio lūžio rekonstrukcija osteochondriniu šonkaulio autotransplantatu yra palyginti saugi ir lengvai atliekama procedūra. Vis dėlto viena iš dažniausių šio gydymo galimų komplikacijų – pneumotoraksas, kuris gali susiformuoti šonkaulio disekcijos metu [24]. Šiai komplikacijai pastebėti ir diagnozuoti patartina po operacijos atlikti krūtinės ląstos rentgenologinį tyrimą [22].

Taigi laivelio proksimalinio poliaus rekonstrukcija osteochondriniu šonkaulio autotransplantatu, esant skeveldriniam lūžiui ar kitais sudėtingais atvejais, kai susiformuoja kaulinio audinio defektas, yra tinkamas chirurginio gydymo metodas, kuriuo pasiekiama palankių riešo funkcijos atkūrimo rezultatų. Tai ypač aktualu jauniems, darbingo amžiaus žmonėms. Taikant minėtą metodą, išvengiama tradicinėms chirurginėms procedūroms būdingų komplikacijų ar nepalankių funkcinių padarinių, kurie riboja riešo judesius ar jėgą.

Išvados

Atliekant laivelio proksimalinio poliaus skeveldrinio lūžio rekonstrukciją, kai kaulinio audinio defektas atkuriamas osteochondriniu šonkaulio autotransplantatu, pasiekiama palankių riešo funkcijos atkūrimo rezultatų, išvengiama alternatyvioms chirurginėms procedūroms būdingų komplikacijų ar nepalankių funkcinių padarinių.

Literatūra

1. Česnys G, Tutkuvienė J, Barkus A, Gedrimas V, Jankauskas R, Rizgelienė R, Žukienė J. Žmogaus anatomija. I tomas. Vilnius: Vilniaus universiteto leidykla, 2008.

2. de Weber K. Scaphoid fractures. Waltham: UpToDate, 2019.

3. van Onselen E, Karim R, Hage J, Ritt M. Prevalence and distribution of hand fractures. J Hand Surg Br 2003; 28(5): 491–495. https://doi.org/10.1016/s0266-7681(03)00103-7

4. Suh N, Ek E, Wolfe S. Carpal fractures. J Hand Surg Am 2014; 39(4): 785–791. https://doi.org/10.1016/j.jhsa.2013.10.030

5. Urch E, Lee S. Carpal fractures other than scaphoid. Clin Sports Med 2015; 34(1): 51–67. https://doi.org/10.1016/j.csm.2014.09.006

6. Bazaras L, Bykovienė L, Braziulis K, Čebatorius A, Čekanauskas E, Degliūtė Muller R, Donec V, Gerulis V, Gintautienė J, Gružauskas M, Gudas R, Juosponis R, Jurkonis R, Kadusauskas T, Kalesinskas RJ, Keizeris A, Kimtys V, Kontautas  , Krutulytė G, Loiba V, Morkevičius T, Naruševičiūtė D, Pilipaitytė L, Pilipavičius G, Pocius G, Rainys D, Rapolienė J, Rimdeikienė I, Samėnienė J, Simonaitytė R, Stravinskas M, Stučinskas J, Širka A, Tamulaitis G, Tankevičius G, Tarasevičius Š, Toliušis V, Urbonienė A, Varžaitytė L, Vertelis A, Zacharevskij E, Zasimauskienė A, Zeniauskas L. Atraminio-judamojo aparato ligos: ortopedija-traumatologija, plastinė ir rekonstrukcinė chirurgija, reabilitacija. 1st ed. Kaunas: Vitae Litera, 2017.

7. Kang L. Operative Treatment of Acute Scaphoid Fractures. Hand Surg 2015; 20(2): 210–214. https://doi.org/10.1142/s021881041540002x

8. Cheung J, Tang C, Fung B. Current management of acute scaphoid fractures: a review. Hong Kong Med J 2014; 20(1): 52–58.

9. Eiff M, Hatch R, Calbach W. Fracture Management for Primary Care. 2nd ed. Philadelphia: Saunders, 2003.

10. Alshryda S, Shah A, Odak S, Al-Shryda J, Ilango B, Murali S. Acute fractures of the scaphoid bone: Systematic review and meta-analysis. Surgeon 2012; 10(4): 218–229. https://doi.org/10.1016/j.surge.2012.03.004

11. Duckworth A, Jenkins P, Aitken S, Clement N, Court-Brown C, McQueen M. Scaphoid fracture epidemiology. J Trauma Acute Care Surg 2012; 72(2): 41–45. https://doi.org/10.1097/ta.0b013e31822458e8

12. Geissler W. Carpal fractures in athletes. Clin Sports Med 2001; 20(1): 167–188.

13. Welling R, Jacobson J, Jamadar D, Chong S, Caoili E, Jebson P. MDCT and radiography of wrist fractures: radiographic sensitivity and fracture patterns. AJR Am J Roentgenol 2008; 190(1): 10–16. https://doi.org/10.2214/ajr.07.2699

14. Balci A, Basara I, Çekdemir EY, Tetik F, Aktaş G, Acarer A, Özaksoy D. Wrist fractures: sensitivity of radiography, prevalence, and patterns in MDCT. Emerg Radiol 2015; 22(3): 251–256. https://doi.org/10.1007/s10140-014-1278-1

15. Hey H, Chong A, Murphy D. Prevalence of carpal fracture in Singapore. J Hand Surg Am 2011; 36(2): 278–283.

16. Shenoy R, Pillai A, Hadidi M. Scaphoid fractures: variation in radiographic views – a survey of current practice in the West of Scotland region. Eur J Emerg Med 2007; 14(1): 2–5. https://doi.org/10.1097/01.mej.0000228445.63523.b7

17. Upton S, Chorley J. Overview of acute wrist injuries in children and adolescents. Waltham: UpToDate, 2019.

18. Heckman J, Kasser J. Rockwood and Green’s Fractures in Adults. 5th ed. Philadelphia: Lippincott Williams & Wilkins, 2002.

19. Schuind F, Moungondo F, El Kazzi W. Prognostic factors in the treatment of carpal scaphoid non-unions. Eur J Orthop Surg Traumatol 2017; 27: 3–9. https://doi.org/10.1007/s00590-016-1886-4

20. Adams J, Steinmann S. Acute scaphoid fractures. Orthop Clin North Am 2007; 38(2): 229–235.

21. Puopolo S, Rettig M. Management of acute scaphoid fractures. Bull Hosp Jt Dis 2003; 61(3–4): 160–163.

22. Veitch SW, Blake S, David H. Proximal scaphoid rib graft arthroplasty. J Bone Joint Surg Br 2007; 89-B(2): 196–201. https://doi.org/10.1302/0301-620x.89b2.18059

23. Green DP, O’Brien ET. Open reduction of carpal dislocations: indications and operative techniques. J Hand Surg Am 1978; 3: 250–265. https://doi.org/10.1016/s0363-5023(78)80089-6

24. Yao J, Read B, Hentz V. The Fragmented Proximal Pole Scaphoid Nonunion Treated With Rib Autograft: Case Series and Review of the Literature. J Hand Surg 2013; 38A: 2188–2192. https://doi.org/10.1016/j.jhsa.2013.08.093

25. Obert L, Lepage D, Ferrier M, Tropet Y. Rib Cartilage Graft for Posttraumatic or Degenerative Arthritis at Wrist Level: 10-Year Results. J Wrist Surg 2013; 2: 234–238. https://doi.org/10.1055/s-0033-1351787

26. Filan S, Herbert T. Herbert screw fixation of scaphoid fractures. J Bone Joint Surg Br 1996; 78(4): 519–529. https://doi.org/10.1302/0301-620x.78b4.0780519

27. Daly K, Gill P, Magnussen P, Simonis R. Established nonunion of the scaphoid treated by volar wedge grafting and Herbert screw fixation. J Bone Joint Surg Br 1996; 78-B: 530–534. https://doi.org/10.1302/0301-620x.78b4.0780530

28. Gabl M, Reinhart C, Lutz M, Bodner G, Rudisch A, Hussl H, Pechlaner S. Vascularized bone graft from the iliac crest for the treatment of nonunion of the proximal part of the scaphoid with an avascular fragment. J Bone Joint Surg Am 1999; 81(10): 1414–1428. https://doi.org/10.2106/00004623-199910000-00006

29. Sawaizumi T, Nanno M, Nanbu A, Ito H. Vascularised bone graft from the base of the second metacarpal for refractory nonunion of the scaphoid. J Bone Joint Surg Br 2004; 86-B: 1007–1012. https://doi.org/10.1302/0301-620x.86b7.14860

30. Straw R, Davis T, Dias J. Scaphoid nonunion: treatment with a pedicled vascularized bone graft based on the 1,2 intercompartmental supraretinacular branch of the radial artery. J Hand Surg Br 2002; 27(5): 413. https://doi.org/10.1054/jhsb.2002.0808

31. Cohen M, Kozin S. Degenerative arthritis of the wrist: proximal row carpectomy versus scaphoid excision and four-corner arthrodesis. J Hand Surg Am 2001; 26(1): 94–104. https://doi.org/10.1053/jhsu.2001.20160

32. Carter P, Benton L, Dysert P. Silicone rubber carpal implants: a study of the incidence of late osseous complications. J Hand Surg Am 1986; 11(5): 639–644. https://doi.org/10.1016/s0363-5023(86)80003-x

33. Haussman P. Long-term results after silicone prosthesis replacement of the proximal pole of the scaphoid bone in advanced scaphoid nonunion. J Hand Surg Br 2002; 27(5): 417–423. https://doi.org/10.1054/jhsb.2002.0758

34. Eaton R, Akelman E, Eaton B. Fascial implant arthroplasty for treatment of radioscaphoid degenerative disease. J Hand Surg Am 1989; 14(5): 766–774. https://doi.org/10.1016/s0363-5023(89)80074-7

35. Carter P, Malinin T, Abbey P, Sommerkamp T. The scaphoid allograft: a new operation for treatment of the very proximal scaphoid nonunion or for the necrotic, fragmented scaphoid proximal pole. J Hand Surg Am 1989; 14(1): 1–12. https://doi.org/10.1016/0363-5023(89)90052-x

36. Pequignot J, Lussiez B, Allieu Y. A adaptive proximal scaphoid implant. Chir Main 2000; 19(5): 276–285. https://doi.org/10.1016/s1297-3203(00)73492-5

37. Sandow MJ. Costo-osteochondral grafts in the wrist. Tech Hand Up Extrem Surg 2001; 5(3): 165–172.

38. Sandow MJ. Proximal scaphoid costo-osteochondral replacement arthroplasty. J Hand Surg Br 1998; 23(2): 201–208. https://doi.org/10.1016/s0266-7681(98)80175-7

39. Barton N. The late consequences of scaphoid fractures. J Bone Joint Surg Br 2004; 86(5): 626–630.

40. Lindström G, Nyström A. Incidence of post-traumatic arthrosis after primary healing of scaphoid fractures: a clinical and radiological study. J Hand Surg Br 1990; 15(1): 11–13. https://doi.org/10.1016/0266-7681(90)90041-2

41. Schuind F, Haentjens P, Van Innis F, Vander Maren C, Garcia-Elias M, Sennwald G. Prognostic factors in the treatment of carpal scaphoid nonunions. J Hand Surg Am 1999; 24(4): 761–776. https://doi.org/10.1053/jhsu.1999.0761

42. Slade J, Gillon T. Retrospective review of 234 scaphoid fractures and nonunions treated with arthroscopy for union and complications. Scand J Surg 2008; 97(4): 280–289. https://doi.org/10.1177/145749690809700402

43. Yip H, Wu W, Chang R, So T. Percutaneous cannulated screw fixation of acute scaphoid waist fracture. J Hand Surg Br 2002; 27(1): 42–46. https://doi.org/10.1054/jhsb.2001.0690

44. Naranje S, Kotwal P, Shamshery P, Gupta V, Nag H. Percutaneous fixation of selected scaphoid fractures by dorsal approach. Int Orthop 2010; 34(7): 997–1003. https://doi.org/10.1007/s00264-009-0891-1