Lietuvos chirurgija ISSN 1392–0995 eISSN 1648–9942

2019, vol. 18 (1), pp. 33–37 DOI: https://doi.org/10.15388/LietChirur.2019.18.5


Robotinė pieloplastika: klinikinio atvejo analizė

Marius Jasėnas

Urologijos skyrius, Pilvo ir endokrininės chirurgijos klinika, Klaipėdos universitetinė ligoninė, Lietuva
Department of Urology, Department of Surgery, Klaipėdos University Hospital, Lithuania
mariusjas@gmail.com

Raimundas Venckus

Urologijos skyrius, Pilvo ir endokrininės chirurgijos klinika, Klaipėdos universitetinė ligoninė, Lietuva
Department of Urology, Department of Surgery, Klaipėdos University Hospital, Lithuania

Santrauka. Dėl geresnių operacinių ir pooperacinių rezultatų urologai vis dažniau atlieka minimaliai invazyvias operacijas. Robotinė pieloplastika – vienas iš metodų, kuris palengvina pielourterinio segmento susiuvimą. Ši operacija mažiau vargina operuojantį gydytoją, trumpėja operacijos ir hospitalizacijos laikas.

2019 m. sausio 4 d. Klaipėdos universitetinėje ligoninėje atlikta pirmoji robotinė (Senhance Transenterix sistema) pieloplastika. Operuota 61 m. pacientė, turėjusi sunkių gretutinių ligų. Operacinis ir pooperacinis periodai praėjo be komplikacijų, ketvirtą parą pacientė išrašyta į namus. Po dviejų mėnesių pacientė kliniškai nusiskundimų neturėjo, atlikus KT tyrimą, nustatyta regresuojanti hydronefrozė po robotinės pieloplastikos.

Įvertinus gautus rezultatus, galima teigti, kad robotinė pieloplastika yra minimaliai invazyvus, saugus ir efektyvus chirurginis metodas, išsiskiriantis labai greita paciento reabilitacija.

Reikšminiai žodžiai: pieloplastika, mažai invazinė chirurgija, robotinė chirurgija.

Robotic Pieloplasty: a case report

Abstract. Minimally invasive surgeries for better operative and postoperative results are increasingly being performed by urologists in urology. Robotic pyeloplasty one of the methods that facilitate the joining of the pyramidal segment, shortens the surgery length, is less tiring to the doctor, who performs a surgery, also, shortens the hospitalization time.

The first robotic (Senhance Transenterix system) pyeloplasty surgery to a 61 years old patient with severe underlying diseases was performed on 04 01 2019 in Klaipėda university hospital. The operative and post-operative periods passed without complications, and the patient was discharged from hospital on the fourth day. After 2 months, the patient has no clinical complaints, the CT scan revealed regressing hydronephrosis after the robotic kyphoplasty surgery.

After evaluating the obtained results, it can be stated that robotic kyphoplasty surgery is a minimally invasive, safe and effective surgical method with a very fast patient rehabilitation.

Key words: pieloplasty, minimaly invasive sugery, robotic surgery.

Received: 2019/04/01. Accpeted: 2019/04/19
Copyright © 2019 Marius Jasėnas, Raimundas Venckus. Published by Vilnius University Press
This is an Open Access article distributed under the terms of the
Creative Commons Attribution Licence, which permits unrestricted use, distribution, and reproduction in any medium, provided the original author and source are credited.

Įvadas

Geldelės ir šlapimtakio jungties striktūrai gydyti ilgą laiką taikyta atvira pieloplastika. Ši operacija istoriškai laikyta auksiniu standartu. Plėtojantis technologijoms ir vykstant chirurginiam progresui, vis daugiau intervencijų atliekama minimaliai invazyviomis operacijomis, todėl pacientas greičiau sveiksta, patiria mažiau komplikacijų ir greičiau grįžta į kasdienį gyvenimą [1].

Laparoskopinė pieloplastika pirmą kartą aprašyta 1993 m. Schuessler’io et al. [2]. Ji tapo labai populiari ir pripažįstama augančių urologijos centrų. Maždaug po 10 metų laparoskopinės pieloplastikos evoliucija paskatino robotinės chirurgijos raidą [2–3].

Pieloplastika atliekama esant inksto geldelių išsiplėtimui – hidronefrozei, kurios priežastys yra įvairūs ekstrauteriniai ir intrauteriniai šlapimtakio ir geldelės jungties segmento pokyčiai. Galimos priežastys: įgimtos (papildomas kraujagyslių pluoštas, aukšta šlapimtakio padėtis, susiaurėjimas ar visiškas užakimas, pieloureterinio segmento vožtuvas ar raumenų hiperplazija, pasaginis inkstas) ir įgytos (nulemtos inkstų akmenligės komplikacijų, uždegiminių (vezikoureterinio refliukso, retrotarpo fibrozės), navikinių ar trauminių pažeidimų) [4–5].

Patologija dažniausiai diagnozuojama viename inkste, 25–35 m. moterims. Pagrindiniai tyrimai – UG pradiniam hidronefrozės įtarimui patvirtinti. KT ar MBR, I/V urogramos atliekamos tikslinant šlapimtakio susiaurėjimo priežastis [6].

Endopielotomija (jungties įpjovimas endoskopiniu būdu) – efektyvus gydymas, bet pavojingas, esant papildomam kraujagyslių pluoštui (efektas – iki 80 proc.) [7].

Dažniausiai siūlomas gydymas – pieloplastika, kurios efektyvumas siekia daugiau negu 90 proc. Pieloplastika atliekama atviru, laparoskopiniu būdu ar taikant robotinę chirurgiją. Galimos indikacijos: inkstų funkcijos rodiklių blogėjimas (mažiau negu 25 proc.), striktūra pieloureterinio segmento srityje (daugiau negu 1 cm), besikartojančios viršutinių šlapimo takų infekcijos, akmenų formavimasis, didėjanti hidronefrozė, ankstesnė nesėkminga endopielotomija, besikartojančios renalinės kolikos (dar vadinamos Dietlo krize), ypač po diuretikų ar alkoholio pavartojimo [8].

Kontraindikacijos operacijai – ūmi šlapimo takų infekcija, kuri gali sukelti pielonefritą, abscedavimą ir sepsį. Rekomenduojama prieš operaciją atlikti ureteroskopiją, siekiant atmesti navikinio proceso tikimybę. Esant blogai inksto funkcijai (mažiau negu 10 proc.), rekomenduojama nefrektomija, kaip lemianti pacientui geresnę pooperacinę eigą.

Prieš operaciją atliekamas šlapimo pasėlis (augant bakterijoms, būtina antibiotikoterapija prieš operaciją). Cistoskopija su retrogradine pielografija nėra privaloma, tačiau dalis urologų ją atlikdami įvertina šlapimtakių anatomiją, atmeta galimą distalinę šlapimtakio striktūrą ar kitus galimus šlapimtakio pažeidimus. Cisto­skopijos metu įvedamas endostentas, kuris vėliau palengvina operaciją. Jei cistoskopija neatliekama, stentas įvedamas operacijos metu spatuliavus šlapimtakį antegradiniu keliu. Stentas įprastai paliekamas 4–6 savaitėms po operacijos [1].

Galimos įvairios operacijų metodikos, bet dažniausiai taikomas Hynes ir Anderson pieloplastikos būdas (žr. 1 pav.). Šis būdas laikomas auksiniu standartu (pirmą kartą aprašytas 1949 m., atliekant atvirą pieloplastiką), nes leidžia visiškai pašalinti anatomiškai pakitusį siaurą segmentą, sumažinti geldelės tūrį ir suformuoti naują jungtį [15, 16].

Robotinės chirurgijos pranašumai (palyginti su įprastine laparoskopija): išvengiama rankų tremoro, trumpesnė urologo mokymosi kreivė, ypač mokantis siūti, dėl lenktų riešo instrumentų trumpesnis operacijos laikas (10–30 min.) [9, 11], trumpesnė hospitalizacija [13–14]. Minėtina, kad atliktos studijos neparodo abiejų metodų stacionarizavimo trukmės, operacijos efektyvumo, komplikacijų reikšmingo skirtumo [9–13].

Klinikinis atvejis

Pacientė – 61 m. amžiaus, daug metų besiskundžianti kairiojo juosmens skausmu. Anamnezė: serganti reumatoidiniu poliartritu, lėtine skrandžio opalige, cukriniu diabetu (koreguojamas peroraliai metforminu), pirmine arterine hipertenzija, lėtine obstrukcine plaučių liga (LOPL), buvę plaučių trombembolijos (PATE) epizodų. 2017-12-21 diagnozuotas kairiojo šlaunikaulio kaklelio lūžimas, operuota.

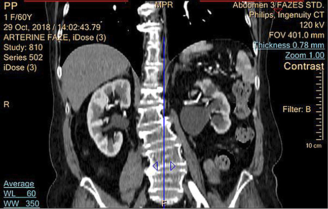
Atlikus KT (2018-10-29) – kairiojo inksto ryški hidronefrozė (iki 34 mm), dešinėje geldelė praplėsta iki 12 mm; abipus šlapimtakiai nepraplėsti (žr. 2 pav.).

Kraujo tyrimuose – saikinga trombocitopenija (139* 109/l), kreatininas – 81 µmol/l, šlapimo tyrimas – be pokyčių.

06.jpg

1 pav. A. Hynes ir Anderson metodika ekscizuojamas susiaurėjęs segmentas. B, C. Suformuojama geldelės ir šlapimtakio jungtis, įvedant endostentą

07_e.jpg

2 pav. Pacientės inkstų KT prieš operaciją

Pacientė operuota 2019-01-04. Atlikta robotinė (Senhance Transenterix) kairiojo inksto pieloplastika, kurios trukmė – apie 3 val. Prieš operaciją ir trys paros po jos skirta antibiotikoterapija ceftriaxonu 1,0 (du kartus per dieną), skirtas antikoaguliantas fraxiparinas 0,3 (vieną kartą per dieną). Trečią pooperacinę parą pašalintas drenas, ketvirtą pooperacinę parą pacientė išrašyta į namus.

08_e.jpg

3 pav. Pacientės pooperaciniai randai praėjus dviem mėnesiams po robotinės pieloplastikos

09_e.jpg

4 pav. Pacientės inkstų KT po operacijos praėjus dviem mėnesiams

Po mėnesio pacientei pašalintas endostentas iš kairiojo šlapimtakio. Pooperaciniu periodu pacientė kairiojo juosmens skausmų nejaučia, šlapinasi gerai. Pacientei likę minimalūs pooperaciniai randai (žr. 3 pav.). 2019-03-05 atlikta kontrolinė KT – kairiojo inksto geldelės prasiplėtimas sumažėjęs iki 19 mm (žr. 4 pav.). Tyrimuose – kreatininas (66 µmol).

Diskusija

Pastaruoju metu atlikta nemažai tyrimų, kurie atskleidė laparoskopinės pieloplastikos privalumus prieš atvirą pieloplastiką. Vis dėlto sudėtingas geldelės susiuvimas laparoskopinės operacijos metu ilgina urologų mokymo(si) kreivę, minėtą operaciją dažniausiai atlieka patyrę urologai.

Robotinės technologijos dėl padidinto trimačio vaizdo, tremoro filtravimo ir lenktų instrumentų tampa prieinamos daugeliui pacientų. Pradžioje robotas buvo vertinamas kaip priemonė, padedanti chirurgui pereiti nuo atviros operacijos prie laparoskopinės, tačiau vėliau, robotines sistemas naudojant įvairiose kompleksinėse urologinės rekonstrukcijos procedūrose, pastebėta, jog robotai gali būti taikomi plačiau, gydant sudėtingas patologijas, juos naudojant pasiekiama geresnių rezultatų.

Išvada

Įvertinus gautus rezultatus, galima teigti, kad robotinė pieloplastika yra minimaliai invazyvus, saugus ir efektyvus chirurginis metodas. Jam būdinga labai greita paciento reabilitacija.

Literatūra

1. Bergersen A, Thomas R, Lee BR. Robotic Pyeloplasty. Journal of Endourology 2018; 32(1): 68–72. https://doi.org/10.1089/end.2017.0726

2. Schuessler WW, Grune MT, Tecuanhuey LV, Preminger GM. Laparoscopic dismembered pyeloplasty. J Urol. 1993; 150(6): 1795–1799. https://doi.org/10.1016/s0022-5347(17)35898-6

3. Tan BJ, Rastinehad AR, Marcovich R, Smith AD, Lee BR. Trends in ureteropelvic junction obstruction management among urologists in the United States. Urology 2005; 65(2): 260–264. https://doi.org/10.1016/j.urology.2004.09.051

4. Sundaram CP, Grubb RL 3rd, Rehman J, Yan Y, Chen C, Landman J, McDougall EM, Clayman RV. Laparoscopic pyeloplasty for secondary ureteropelvic junction obstruction. J Urol. 2003; 169(6): 2037–2040. https://doi.org/10.1097/01.ju.0000067180.78134.da

5. Ost MC, Kaye JD, Guttman MJ, Lee BR, Smith AD. Laparoscopic pyeloplasty versus antegrade endopyelotomy: comparison in 100 patients and a new algorithm for the minimally invasive treatment of ureteropelvic junction obstruction. Urology 2005; 66(5): 47–51. https://doi.org/10.1016/j.urology.2005.06.115

6. Novick AC, Jones JS, Gill IS, Klein EA, Rackley R, Ross JH. Operative Urology at Cleveland Clinic. Totowa, New Jersey: Humana Press, 2006, p. 161–184. https://doi.org/10.1007/978-1-59745-016-4

7. Nagai A, Nasu Y, Hashimoto H, Tsugawa M, Yasui K, Kumon H. Retroperitoneoscopic pyelotomy combined with the transposition of crossing vessels ureteropelvic junction obstruction. The Journal of Urology 2001; 165(1): 23–26. https://doi.org/10.1097/00005392-200101000-00006

8. Mergener K, Weinerth JL, Baillie J. Dietl’s crisis: a syndrome of episodic abdominal pain of urologic origin that may present to a gastroenterologist. Am J Gastroenterol. 1997; 92(12): 2289–2291.

9. Autorino R, Eden C, El-Ghoneimi A, Guazzoni G, Buffi N, Peters CA, Stein RJ, Gettman M. Robot-assisted and laparoscopic repair of ureteropelvic junction obstruction: a systematic review and meta-analysis. Eur Urol. 2014; 65(2): 430–452. https://doi.org/10.1016/j.eururo.2013.06.053

10. Boylu U, Basatac C, Turan T, Onol FF, Gumus E. Comparison of surgical and functional outcomes of minimally invasive and open pyeloplasty. J Laparoendos c Adv Surg Tech A. 2012; 22(10): 968–971. https://doi.org/10.1089/lap.2012.0142

11. Gettman MT, Peschel R, Neururer R, Bartsch G. A comparison of laparoscopic pyeloplasty performed with the daVinci robotic system versus standard laparoscopic techniques: initial clinical results. Eur Urol. 2002; 42(5): 453–457. https://doi.org/10.1016/s0302-2838(02)00373-1

12. Link RE, Bhayani SB, Kavoussi LR. A prospective comparison of robotic and laparoscopic pyeloplasty. Ann Surg. 2006; 243(4): 486–491. https://doi.org/10.1097/01.sla.0000205626.71982.32

13. Braga LH, Pace K, DeMaria J, Lorenzo AJ. Systematic review and meta-analysis of robotic-assisted versus conventional laparoscopic pyeloplasty for patients with ureteropelvic junction obstruction: effect on operative time, length of hospital stay, postoperative complications, and success rate. Eur Urol. 2009; 56(5): 848–857. https://doi.org/10.1016/j.eururo.2009.03.063

14. Wang F, Xu Y, Zhong H. Robot-assisted versus laparoscopic pyeloplasty for patients with ureteropelvic junction obstruction: an updated systematic review and meta-analysis. Scand J Urol. 2013; 47(4): 251–264. https://doi.org/10.3109/21681805.2013.780184

15. Patel NS, Muneer A, Mushtaq I. Laparoscopy as a foundation and its limitations and pitfalls in reconstructive pediatric urology. In: Gundeti MS, editor. Pediatric Robotic and Reconstructive Urology: A Comprehensive Guide. Blackwell Publishing Ltd., UK; Chichester: 2012, p. 51–57. https://doi.org/10.1002/9781444345292.ch7

16. Carr MC, Casale P. Anomalies and surgery of the ureter in children. In: Wein AJ, editor. Campbell-Walsh Urology 4. Elsevier Saunders Publishers, USA; Philadelphia: 2012, p. 3212–3235. https://doi.org/10.1016/b978-1-4160-6911-9.00120-1